Polyclonal Antibody to AKT1/AKT2/AKT3 (Ab-315/316/312)

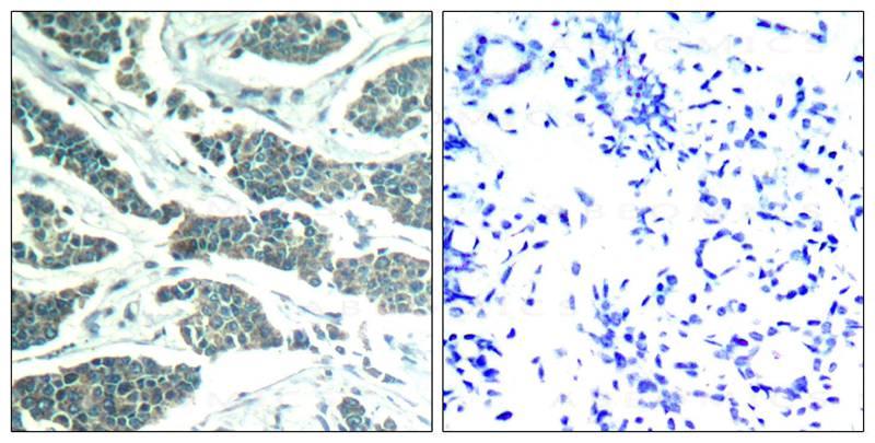
Figure 1: Immunohistochemical analysis of paraffin-embedded human breast carcinoma tissue using AKT1/AKT2/AKT3(Ab-315/316/312) Antibody 35-1721 (left) or the same antibody preincubated with blocking peptide(right).
Roll over image to zoom in
Shipping Info:
For estimated delivery dates, please contact us at [email protected]
Format : | Purified |
Amount : | 100 µl |
Isotype : | Rabbit IgG |
Content : | Supplied at 1.0mg/mL in phosphate buffered saline (without Mg2+ and Ca2+), pH 7.4, 150mM NaCl, 0.02% sodium azide and 50% glycerol. |
Storage condition : | Store the antibody at 4°C, stable for 6 months. For long-term storage, store at -20°C. Avoid repeated freeze and thaw cycles. |
Gene : | AKT1 |
Gene ID : | 207 |
Uniprot ID : | P31749/P31751 Q |
Alternative Name : | RAC-PK-alpha, Protein kinase B |
Immunogen Information : | Peptide sequence around aa.313~317/314~318/310~314 (P-E-Y-L-A) derived from Human AKT1/AKT2/AKT3. |
General protein kinase capable of phosphorylating several known proteins. Phosphorylates TBC1D4. Signals downstream of phosphatidylinositol 3-kinase (PI3K) to mediate the effects of various growth factors such as platelet-derived growth factor (PDGF), epidermal growth factor (EGF), insulin and insulin-like growth factor I (IGF-I). Plays a role in glucose transport by mediating insulin-induced translocation of the GLUT4 glucose transporter to the cell surface. Mediates the antiapoptotic effects of IGF-I. Mediates insulin-stimulated protein synthesis by phosphorylating TSC2 at 'Ser-939' and 'Thr-1462', thereby activating mTORC1 signaling and leading to both phosphorylation of 4E-BP1 and in activation of RPS6KB1. Promotes glycogen synthesis by mediating the insulin-induced activation of glycogen synthase. /General protein kinase capable of phosphorylating several known proteins. /IGF-1 leads to the activation of AKT3, which may play a role in regulating cell survival. Capable of phosphorylating several known proteins. Truncated isoform 2/PKB gamma 1 without the second serine phosphorylation site could still be stimulated but to a lesser extent.
Predicted MW: 60kd, Immunohistochemistry: 1:50~1:100
For Research Use Only. Not for use in diagnostic/therapeutics procedures.
There are currently no product reviews
|