AMPK Alpha1 (Phospho-Ser487) Polyclonal Antibody

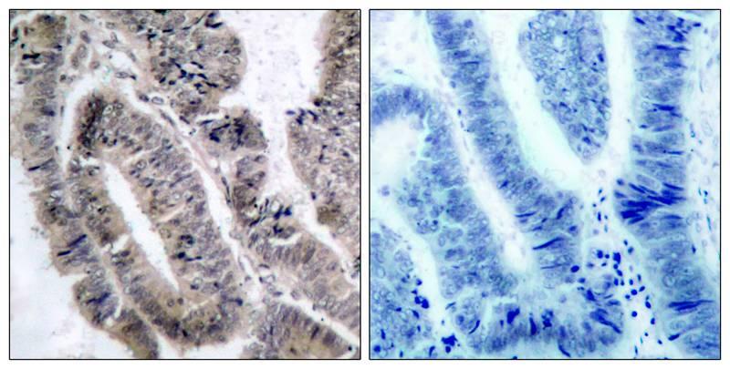
Figure 1: Immunohistochemical analysis of paraffin-embedded human colon carcinoma tissue using AMPKa1 (Phospho-Ser496)Antibody 35-1165 (left) or the same antibody preincubated with blocking peptide (right).
Roll over image to zoom in
Shipping Info:
For estimated delivery dates, please contact us at [email protected]
Format : | Purified |
Amount : | 100 µl |
Isotype : | Rabbit IgG |
Content : | Supplied at 1.0mg/mL in phosphate buffered saline (without Mg2+ and Ca2+), pH 7.4, 150mM NaCl, 0.02% sodium azide and 50% glycerol. |
Storage condition : | Store the antibody at 4°C, stable for 6 months. For long-term storage, store at -20°C. Avoid repeated freeze and thaw cycles. |
Gene : | PRKAA1 |
Gene ID : | 5562 |
Uniprot ID : | Q13131/P54646 |
Alternative Name : | AAPK1, AMPK alpha-1 chain, AMPK-alpha1, HMG-CoA redustase kinase, PRKAA1 |
Immunogen Information : | Peptide sequence around phosphorylation site of serine 496 (S-G- S(P)-V-S) derived from Human AMPK?1. |
Predicted MW: 63kd, Western blotting: 1:500~1:1000, Immunohistochemistry: 1:50~1:100, Immunofluorescence: 1:100~1:200
For Research Use Only. Not for use in diagnostic/therapeutics procedures.
There are currently no product reviews
|