Polyclonal Antibody to Androgen Receptor (Phospho-Ser650)

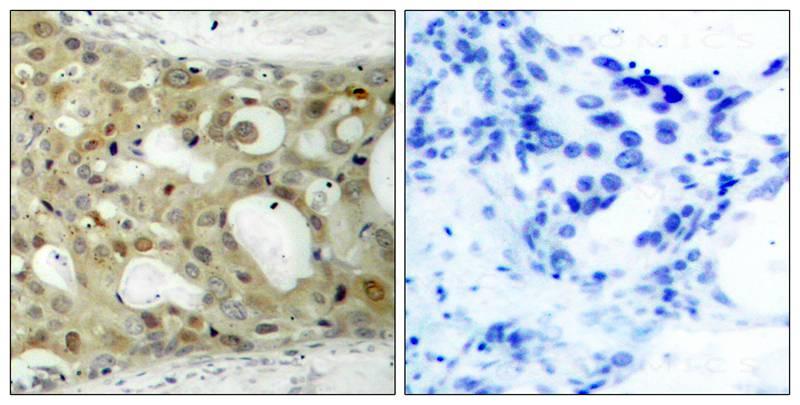
Figure 1: Immunohistochemical analysis of paraffin-embedded human breast carcinoma tissue using Androgen Receptor (Phospho-Ser650) Antibody 35-1117 (left) or the same antibody preincubated with blocking peptide 51120 (right).
Roll over image to zoom in
Shipping Info:
For estimated delivery dates, please contact us at [email protected]
Format : | Purified |
Amount : | 100 µl |
Isotype : | Rabbit IgG |
Content : | Supplied at 1.0mg/mL in phosphate buffered saline (without Mg2+ and Ca2+), pH 7.4, 150mM NaCl, 0.02% sodium azide and 50% glycerol. |
Storage condition : | Store the antibody at 4°C, stable for 6 months. For long-term storage, store at -20°C. Avoid repeated freeze and thaw cycles. |
The androgen receptor gene is more than 90 kb long and codes for a protein that has 3 major functional domains: the N-terminal domain, DNA-binding domain, and androgen-binding domain. The protein functions as a steroid-hormone activated transcription factor. Upon binding the hormone ligand, the receptor dissociates from accessory proteins, translocates into the nucleus, dimerizes, and then stimulates transcription of androgen responsive genes. This gene contains 2 polymorphic trinucleotide repeat segments that encode polyglutamine and polyglycine tracts in the N-terminal transactivation domain of its protein. Expansion of the polyglutamine tract causes spinal bulbar muscular atrophy (Kennedy disease). Mutations in this gene are also associated with complete androgen insensitivity (CAIS). Two alternatively spliced variants encoding distinct isoforms have been described.
Brinkman, A.O. et al. (1999) J. Steroid. Biochem. Mol. Biol. 69, 307-313.
Avila, D.M. et al. (2001) J. Steroid. Biochem. Mol. Biol. 76, 135-142.
Montgomery, J.S. et al. (2001) J. Pathol. 195, 138-146.
Predicted MW: 110kd, Immunohistochemistry: 1:50~1:100
For Research Use Only. Not for use in diagnostic/therapeutics procedures.
Subcellular location: | Nucleus, Cytoplasm |
Post transnational modification: | Palmitoylated by ZDHHC7 and ZDHHC21. Palmitoylation is required for plasma membrane targeting and for rapid intracellular signaling via ERK and AKT kinases and cAMP generation. |
Tissue Specificity: | Isoform 2 is mainly expressed in heart and skeletal muscle (PubMed:15634333). Isoform 3 is expressed by basal and stromal cells of prostate (at protein level) (PubMed:19244107). |
BioGrid: | 106862. 284 interactions. |
There are currently no product reviews
|