Polyclonal Antibody to ATR (Ab-428)
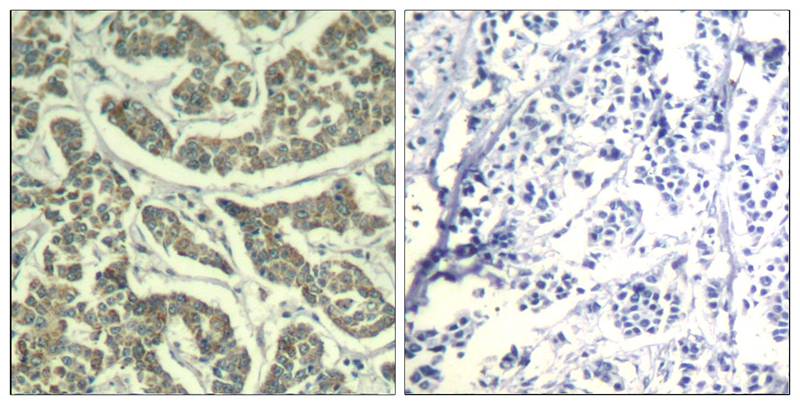
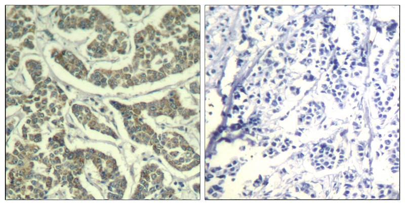
Figure 1: Immunohistochemical analysis of paraffin-embedded human breast carcinoma tissue using ATR(Ab-428) Antiobdy 35-1723 (left) or the same antibody preincubated with blocking peptide(right).
Roll over image to zoom in
Shipping Info:
For estimated delivery dates, please contact us at [email protected]
| Format : | Purified |
| Amount : | 100 µl |
| Isotype : | Rabbit IgG |
| Content : | Supplied at 1.0mg/mL in phosphate buffered saline (without Mg2+ and Ca2+), pH 7.4, 150mM NaCl, 0.02% sodium azide and 50% glycerol. |
| Storage condition : | Store the antibody at 4°C, stable for 6 months. For long-term storage, store at -20°C. Avoid repeated freeze and thaw cycles. |
ATR encoded by this gene belongs the PI3/PI4-kinase family, and is most closely related to ATM, a protein kinase encoded by the gene mutated in ataxia telangiectasia. This protein and ATM share similarity with Schizosaccharomyces pombe rad3, a cell cycle checkpoint gene required for cell cycle arrest and DNA damage repair in response to DNA damage. This kinase has been shown to phosphorylate checkpoint kinase CHK1, checkpoint proteins RAD17, and RAD9, as well as tumor suppressor protein BRCA1. Mutations of this gene are associated with Seckel syndrome. An alternatively spliced transcript variant of this gene has been reported, however, its full length nature is not known. Transcript variants utilizing alternative polyA sites exist.
Predicted MW: 250kd, Immunohistochemistry: 1:50~1:100
For Research Use Only. Not for use in diagnostic/therapeutics procedures.
| Subcellular location: | Nucleus, Nucleus, Chromosome |
| Post transnational modification: | Phosphorylated; autophosphorylates in vitro. |
| Tissue Specificity: | Ubiquitous, with highest expression in testis. Isoform 2 is found in pancreas, placenta and liver but not in heart, testis and ovary. |
| BioGrid: | 107027. 129 interactions. |
|
There are currently no product reviews
|



















.png)














