Polyclonal antibody to BAG5

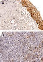
Fig:1 Formalin-fixed, paraffin-embedded human cervical tissue stained for BAG-5 expression using 20-1018 at 1:2000. A. normal cervix epithelium. B. cervical cancer. Hematoxylin-eosin counterstain.
Roll over image to zoom in
Shipping Info:
Order now and get it on Tuesday October 07, 2025
Same day delivery FREE on San Diego area orders placed by 1.00 PM
Format : | Sera |
Amount : | 50 µl |
Isotype : | Rabbit IgG |
Content : | 50 µl sera |
Storage condition : | Store the antibody at 4°C, stable for 6 months. For long-term storage, store at -20°C. Avoid repeated freeze and thaw cycles. |
WB: 1:1000-1:2000, IHC (paraffin): 1:1000-1:5000, IHC (frozen): Users should optimize, IP: 1:50-1:200, IF/ICC: 1:1000-1:5000
For Research Use Only. Not for use in diagnostic/therapeutics procedures.
BioGrid: | 114905. 46 interactions. |
There are currently no product reviews
|