Polyclonal antibody to BAK

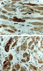
Fig:1 Formalin-fixed paraffin-embedded tissue sections of human heart with cardiomyopathy stained for Bak expression using 20-1019 at 1:2000 (A and B). Hematoxylin-eosin counterstain.
Roll over image to zoom in
Shipping Info:
Order now and get it on Tuesday October 21, 2025
Same day delivery FREE on San Diego area orders placed by 1.00 PM
Format : | Sera |
Amount : | 50 µl |
Isotype : | Rabbit IgG |
Content : | 50 µl sera |
Storage condition : | Store the antibody at 4°C, stable for 6 months. For long-term storage, store at -20°C. Avoid repeated freeze and thaw cycles. |
Human BAK is a 211 amino acid protein. The Bcl-2 family of apoptosis-related genes plays central roles in regulating apoptotic pathways . Bcl-2 family proteins can be divided into 3 main subfamilies on the basis of their function and the content of their Bcl-2 homology (BH) domains, for example: 1) Prosurvival: Bcl-2, Bcl-XL, Bcl-W, A1, and Mcl-1 2) Proapoptotic (multidomain): Bax, Bak, and Bok. 3) BH3-only (proapoptotic): Bad, Bcl-XS, Bid, Bik, Bim, Blk, Bmf, Bnip, Noxa, and Puma. Regulation of cell death through apoptosis is critical for the maintenance of homeostasis, defense against infectious agents, and normal development. Bcl-2 family proteins regulate apoptosis primarily through the regulation of mitochondrial outer membrane permeability. In mammals, the family consists of both prosurvival (antiapoptotic) and proapoptotic (prodeath) members. Cellular homeostasis is thought to be dependent on a balance between the actions of prosurvival and proapoptotic proteins. Many Bcl-2 family proteins are differentially expressed in various malignancies and some are useful prognostic biomarkers. Prosurvival proteins are often elevated in diverse cancers and have the potential to confer resistance to both endogenous cell death stimuli and cancer treatments. Alterations in the ratio or levels of Bcl-2 family proteins have been also associated with nonmalignant diseases including neurodegenerative diseases, autoimmune diseases, AIDs, Downs syndrome, cardiovascular diseases, diabetes, glomerulonephritis, and muscular dystrophy.
WB: 1:1000-1:2000, IHC (paraffin): 1:1000-1:5000, IHC (frozen): Users should optimize, IP: 1:50-1:200
For Research Use Only. Not for use in diagnostic/therapeutics procedures.
Bose D, Rogers KA, Shirreff LM, Chebloune Y, Villinger FJ.
Enhanced HIV immune responses elicited by an apoptotic single-cycle SHIV lentivector DNA vaccine.
Front Cell Infect Microbiol. 2025 Apr 10;15:1481427. doi: 10.3389/fcimb.2025.1481427.
PMID: 40292218; PMCID: PMC12023480.
Subcellular location: | Mitochondrion membrane |
Tissue Specificity: | Expressed in a wide variety of tissues, with highest levels in the heart and skeletal muscle. |
BioGrid: | 107054. 29 interactions. |
There are currently no product reviews
|