Polyclonal antibody to Caspase 8 ( active/cleaved )

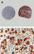
Fig:1 Formalin-fixed, paraffin-embedded sections from a brain tumor tissue array stained for Caspase-8 expression using 20-1043 at 1:2000. A. Anaplastic glioma (Grade III, left) and Gemistocytoma (Grade II, right) cores showing negative and positive staining for Caspase-8, respectively. B. Higher magnification of the Gemistocytoma tumor (from A).
Roll over image to zoom in
Shipping Info:
Order now and get it on Tuesday October 21, 2025
Same day delivery FREE on San Diego area orders placed by 1.00 PM
Format : | Sera |
Amount : | 50 µl |
Isotype : | Rabbit IgG |
Content : | 50 µl sera |
Storage condition : | Store the antibody at 4°C, stable for 6 months. For long-term storage, store at -20°C. Avoid repeated freeze and thaw cycles. |
Gene : | CASP8 |
Gene ID : | 841 |
Uniprot ID : | Q14790 |
Alternative Name : | Apoptotic cysteine protease, Apoptotic protease Mch-5, CAP4, FADD-homologous ICE/ced-3-like protease, FADD-like ICE, ICE-like apoptotic protease 5, MORT1-associated ced-3 homolog, MCH5 |
Immunogen Information : | A recombinant catalytically active of human Caspase-8 (active/cleaved) protein was used as the immunogen for this antibody |
WB: 1:1000-1:2000, IHC (paraffin): 1:1000-1:5000, IHC (frozen): Users should optimize, IP: 1:50-1:200
For Research Use Only. Not for use in diagnostic/therapeutics procedures.
Bose D, Rogers KA, Shirreff LM, Chebloune Y, Villinger FJ.
Enhanced HIV immune responses elicited by an apoptotic single-cycle SHIV lentivector DNA vaccine.
Front Cell Infect Microbiol. 2025 Apr 10;15:1481427. doi: 10.3389/fcimb.2025.1481427.
PMID: 40292218; PMCID: PMC12023480.
Subcellular location: | Cytoplasm |
Post transnational modification: | Phosphorylation on Ser-387 during mitosis by CDK1 inhibits activation by proteolysis and prevents apoptosis. This phosphorylation occurs in cancer cell lines, as well as in primary breast tissues and lymphocytes. |
Tissue Specificity: | Isoform 1, isoform 5 and isoform 7 are expressed in a wide variety of tissues. Highest expression in peripheral blood leukocytes, spleen, thymus and liver. Barely detectable in brain, testis and skeletal muscle. |
BioGrid: | 107291. 153 interactions. |
There are currently no product reviews
|