Polyclonal Antibody to CDK6 (Ab-13)

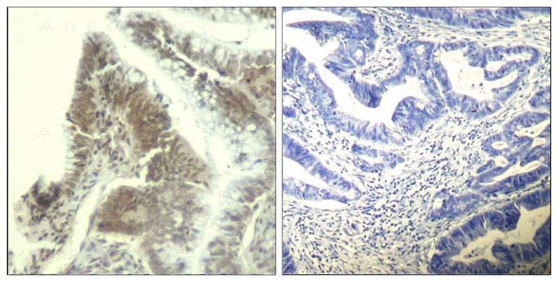
Figure 1: Immunohistochemical analysis of paraffin-embedded human colon carcinoma tissue using CDK6(Ab-13) Antibody 35-1745 (left) or the same antibody preincubated with blocking peptide(right).
Roll over image to zoom in
Shipping Info:
For estimated delivery dates, please contact us at [email protected]
Format : | Purified |
Amount : | 100 µl |
Isotype : | Rabbit IgG |
Content : | Supplied at 1.0mg/mL in phosphate buffered saline (without Mg2+ and Ca2+), pH 7.4, 150mM NaCl, 0.02% sodium azide and 50% glycerol. |
Storage condition : | Store the antibody at 4°C, stable for 6 months. For long-term storage, store at -20°C. Avoid repeated freeze and thaw cycles. |
Probably involved in the control of the cell cycle. Interacts with D-type G1 cyclins.
Predicted MW: 36kd, Immunohistochemistry: 1:50~1:100, Immunofluorescence: 1:100~1:200
For Research Use Only. Not for use in diagnostic/therapeutics procedures.
Subcellular location: | Cytoplasm, Nucleus, Cell projection, Cytoplasm |
Post transnational modification: | Thr-177 phosphorylation and Tyr-24 dephosphorylation promotes kinase activity. |
Tissue Specificity: | Expressed ubiquitously. Accumulates in squamous cell carcinomas, proliferating hematopoietic progenitor cells, beta-cells of pancreatic islets of Langerhans, and neuroblastomas. Reduced levels in differentiating cells. |
BioGrid: | 107456. 162 interactions. |
There are currently no product reviews
|