Polyclonal antibody to cIAP-1/HIAP-2
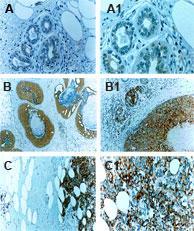
Fig:1 Immuhistochemical analysis of formalin-fixed, paraffin-embedded human breast tissue using 20-1055 at 1:2000. A, normal breast tissue. B, ductal carcinoma in situ (DCIS). C, invasive breast carcinoma. A1, B1, and C1 are higher magnifications of A, B and C, respectively. Hematoxylin-eosin counterstain. Increased cIAP1 expression is seen in the cancerous compared to normal breast tissue. Hematoxylin-eosin counterstain
Roll over image to zoom in
Shipping Info:
Order now and get it on Friday April 03, 2026
Same day delivery FREE on San Diego area orders placed by 1.00 PM
| Format : | Sera |
| Amount : | 50 µl |
| Isotype : | Rabbit IgG |
| Content : | 50 µl sera |
| Storage condition : | Store the antibody at 4°C, stable for 6 months. For long-term storage, store at -20°C. Avoid repeated freeze and thaw cycles. |
cIAP1 (HIAP2, MIHB)is a member of the family of inhibitor of apoptosis proteins (IAP). Resistance towards apoptosis is a hallmark of cancer cells, and overexpression of IAPs can contribute to the development of cancer though inhibiting apoptosis.The IAPs, including cIAP1, have widespread tissue protein expression, with expression levels and subcellular localization patterns differing depending on the cell lineage. This antibody recognizes human cIAP1 is a 618 amino acid protein. In addition to at least one BIR domain, some IAP members also have a RING-type finger motif at their carboxyl-terminal. The RING finger domain of several IAPs, including cIAP2, have E3 ubiquitin ligase activity and target the degradation of Smac/DIABLO through ubqiuitination. Smac/DIABLO is a death inducer and functions by inhibiting IAP-caspase interactions, thereby promoting apoptosis. Degradation of cell death inducers like Smac/DIABLO is thought to be a conserved mechanism by which IAPs enhance their anti-apoptotic activity, thereby promoting cell survival.
WB: 1:1000-1:2000, IHC (paraffin): 1:1000-1:5000, IHC (frozen): Users should optimize, IP: 1:50-1:200
For Research Use Only. Not for use in diagnostic/therapeutics procedures.
| Subcellular location: | Cytoplasm, Nucleus |
| Post transnational modification: | Auto-ubiquitinated and degraded by the proteasome in apoptotic cells. |
| Tissue Specificity: | Present in many fetal and adult tissues. Mainly expressed in adult skeletal muscle, thymus, testis, ovary, and pancreas, low or absent in brain and peripheral blood leukocytes. |
| BioGrid: | 106826. 166 interactions. |
|
There are currently no product reviews
|
























.png)













