Polyclonal Antibody to cofilin1 (phospho-Tyr139)

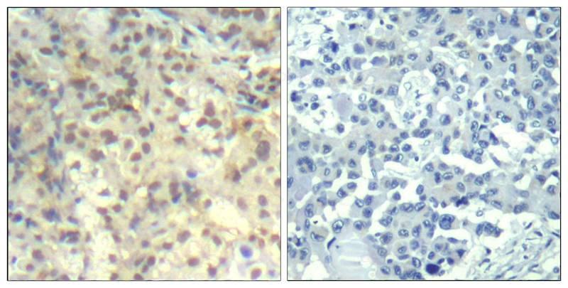
Figure 1: Immunohistochemical analysis of paraffin-embedded human lung carcinoma tissue using cofilin1(Phospho-Tyr139) Antibody 35-1304 (left) or the same antibody preincubated with blocking peptide(right).
Roll over image to zoom in
Shipping Info:
For estimated delivery dates, please contact us at [email protected]
Format : | Purified |
Amount : | 100 µl |
Isotype : | Rabbit IgG |
Content : | Supplied at 1.0mg/mL in phosphate buffered saline (without Mg2+ and Ca2+), pH 7.4, 150mM NaCl, 0.02% sodium azide and 50% glycerol. |
Storage condition : | Store the antibody at 4°C, stable for 6 months. For long-term storage, store at -20°C. Avoid repeated freeze and thaw cycles. |
Controls reversibly actin polymerization and depolymerization in a pH-sensitive manner. It has the ability to bind G- and F-actin in a 1:1 ratio of cofilin to actin. It is the major component of intranuclear and cytoplasmic actin rods.
Predicted MW: 19kd, Immunohistochemistry: 1:50~1:100
For Research Use Only. Not for use in diagnostic/therapeutics procedures.
Subcellular location: | Nucleus matrix, Cytoplasm, Cell projection, Cell projection, Cell projection |
Post transnational modification: | Inactivated by phosphorylation on Ser-3. Phosphorylated on Ser-3 in resting cells (By similarity). Dephosphorylated by PDXP/chronophin; this restores its activity in promoting actin filament depolymerization. The phosphorylation of Ser-24 may prevent recognition of the nuclear localization signal (By similarity). Phosphorylated via a ARRB1-RAC1-LIMK1-PAK1 cascade upon active ligand stimulation of atypical chemokine receptor ACKR2. |
Tissue Specificity: | Widely distributed in various tissues. |
BioGrid: | 107499. 170 interactions. |
There are currently no product reviews
|