Polyclonal Antibody to CREB (Ab-142)

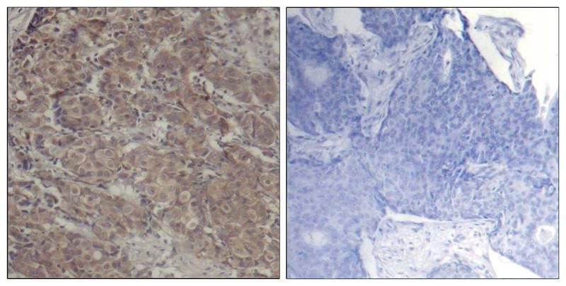
Figure 1: Immunohistochemical analysis of paraffin-embedded human breast carcinoma tissue using CREB(Ab-142) Antibody 35-1626 (left) or the same antibody preincubated with blocking peptide(right).
Roll over image to zoom in
Shipping Info:
For estimated delivery dates, please contact us at [email protected]
Format : | Purified |
Amount : | 100 µl |
Isotype : | Rabbit IgG |
Content : | Supplied at 1.0mg/mL in phosphate buffered saline (without Mg2+ and Ca2+), pH 7.4, 150mM NaCl, 0.02% sodium azide and 50% glycerol. |
Storage condition : | Store the antibody at 4°C, stable for 6 months. For long-term storage, store at -20°C. Avoid repeated freeze and thaw cycles. |
This protein binds the cAMP response element (CRE), a sequence present in many viral and cellular promoters. CREB stimulates transcription on binding to the CRE. Transcription activation is enhanced by the TORC coactivators which act independently of Ser-133 phosphorylation. Implicated in synchronization of circadian rhythmicity.
Predicted MW: 43kd, Immunohistochemistry: 1:50~1:100
For Research Use Only. Not for use in diagnostic/therapeutics procedures.
Subcellular location: | Nucleus |
Post transnational modification: | Sumoylated with SUMO1. Sumoylation on Lys-304, but not on Lys-285, is required for nuclear localization of this protein. Sumoylation is enhanced under hypoxia, promoting nuclear localization and stabilization. |
BioGrid: | 107775. 146 interactions. |
There are currently no product reviews
|