Polyclonal Antibody to Dab1 (Ab-232)
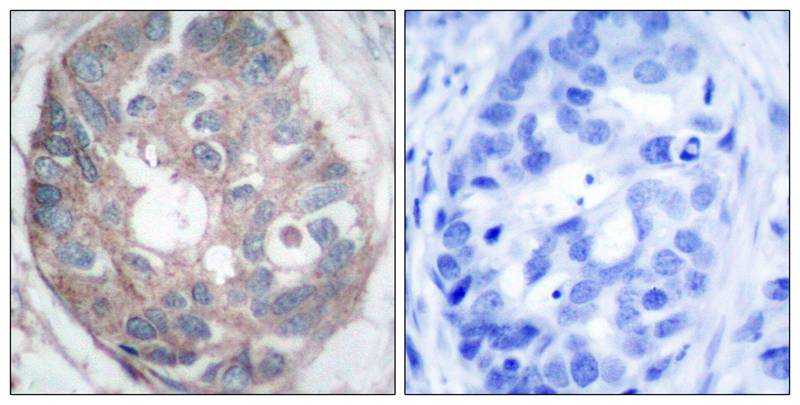
Figure 1: Immunohistochemical analysis of paraffin-embedded human breast carcinoma tissue using Dab1(Ab-232) Antibody 35-1584 (left) or the same antibody preincubated with blocking peptide(right).
Roll over image to zoom in
Shipping Info:
For estimated delivery dates, please contact us at [email protected]
| Format : | Purified |
| Amount : | 100 µl |
| Isotype : | Rabbit IgG |
| Content : | Supplied at 1.0mg/mL in phosphate buffered saline (without Mg2+ and Ca2+), pH 7.4, 150mM NaCl, 0.02% sodium azide and 50% glycerol. |
| Storage condition : | Store the antibody at 4°C, stable for 6 months. For long-term storage, store at -20°C. Avoid repeated freeze and thaw cycles. |
The laminar organization of multiple neuronal types in the cerebral cortex is required for normal cognitive function. In mice, the disabled-1 gene plays a central role in brain development, directing the migration of cortical neurons past previously formed neurons to reach their proper layer. This gene is similar to disabled-1, and the protein encoded by this gene is thought to be a signal transducer that interacts with protein kinase pathways to regulate neuronal positioning in the developing brain. Alternatively spliced transcript variants of this gene have been reported, but their full length nature has not been determined.
Predicted MW: 80kd, Immunohistochemistry: 1:50~1:100
For Research Use Only. Not for use in diagnostic/therapeutics procedures.
| Post transnational modification: | Phosphorylated on Tyr-198 and Tyr-220 upon reelin induction in embryonic neurons. Also phosphorylated on Ser-524 independently of reelin signaling. |
| Tissue Specificity: | Mainly expressed in brain. |
| BioGrid: | 107970. 66 interactions. |
|
There are currently no product reviews
|




















.png)













