Polyclonal Antibody to Elk1(Phospho-Thr417)

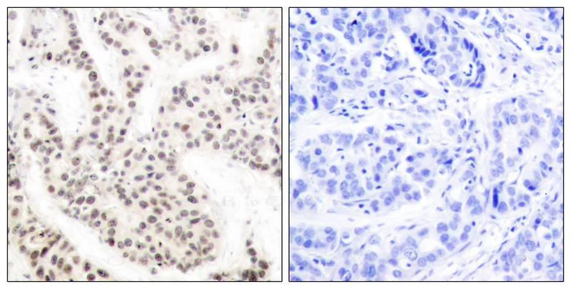
Figure 1: Immunohistochemical analysis of paraffin-embedded human breast carcinoma tissue using Elk-1 (phospho-Thr417) antibody (35-1037 ).
Roll over image to zoom in
Shipping Info:
For estimated delivery dates, please contact us at [email protected]
Format : | Purified |
Amount : | 100 µl |
Isotype : | Rabbit IgG |
Content : | Supplied at 1.0mg/mL in phosphate buffered saline (without Mg2+ and Ca2+), pH 7.4, 150mM NaCl, 0.02% sodium azide and 50% glycerol. |
Storage condition : | Store the antibody at 4°C, stable for 6 months. For long-term storage, store at -20°C. Avoid repeated freeze and thaw cycles. |
Stimulates transcription. Binds to purine-rich DNA sequences. Can form a ternary complex with the serum response factor and the ETS and SRF motifs of the fos serum response element.
Yang S.-H., Sharrocks A.D.EMBO J. 24:2161-2171(2005)
Zhang L., Yang S.H., Sharrocks A.D.Mol. Cell. Biol. 27:2861-2869(2007)
Immunohistochemistry: 1:50~1:100, Immunofluorescence: 1:100~1:200
For Research Use Only. Not for use in diagnostic/therapeutics procedures.
Subcellular location: | Nucleus |
Post transnational modification: | On mitogenic stimulation, phosphorylated on C-terminal serine and threonine residues by MAPK1. Ser-383 and Ser-389 are the preferred sites for MAPK1. In vitro, phosphorylation by MAPK1 potentiates ternary complex formation with the serum responses factors, SRE and SRF. Also phosphorylated on Ser-383 by MAPK8 and/or MAKP9. Phosphorylation leads to loss of sumoylation and restores transcriptional activator activity. Phosphorylated and activated by CAMK4, MAPK11, MAPK12 and MAPK14. Upon bFGF stimulus, phosphorylated by PAK1 (By similarity). |
Tissue Specificity: | Lung and testis. |
BioGrid: | 108317. 28 interactions. |
There are currently no product reviews
|