Polyclonal Antibody to Jak2 (Ab-570)
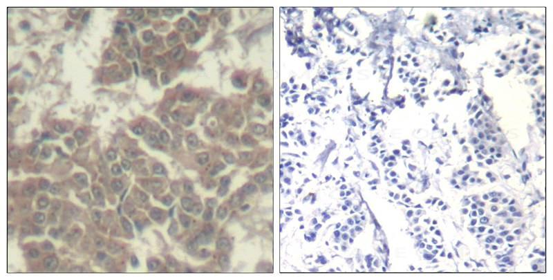
Figure 1: Immunohistochemical analysis of paraffin-embedded human breast carcinoma tissue using Jak2(Ab-570) Antibody 35-1734 (left) or the same antibody preincubated with blocking peptide(right).
Roll over image to zoom in
Shipping Info:
For estimated delivery dates, please contact us at [email protected]
| Format : | Purified |
| Amount : | 100 µl |
| Isotype : | Rabbit IgG |
| Content : | Supplied at 1.0mg/mL in phosphate buffered saline (without Mg2+ and Ca2+), pH 7.4, 150mM NaCl, 0.02% sodium azide and 50% glycerol. |
| Storage condition : | Store the antibody at 4°C, stable for 6 months. For long-term storage, store at -20°C. Avoid repeated freeze and thaw cycles. |
Plays a role in leptin signaling and control of body weight.
Predicted MW: 125kd, Immunohistochemistry: 1:50~1:100
For Research Use Only. Not for use in diagnostic/therapeutics procedures.
| Subcellular location: | Endomembrane system, Cytoplasm, Nucleus |
| Post transnational modification: | Autophosphorylated, leading to regulate its activity. Leptin promotes phosphorylation on tyrosine residues, including phosphorylation on Tyr-813 (By similarity). Autophosphorylation on Tyr-119 in response to EPO down-regulates its kinase activity (By similarity). Autophosphorylation on Tyr-868, Tyr-966 and Tyr-972 in response to growth hormone (GH) are required for maximal kinase activity (By similarity). Also phosphorylated by TEC (By similarity). Phosphorylated on tyrosine residues in response to interferon gamma signaling (PubMed:7615558, PubMed:7673114). Phosphorylated on tyrosine residues in response to a signaling cascade that is activated by increased cellular retinol (PubMed:21368206). |
| Tissue Specificity: | Ubiquitously expressed throughout most tissues. |
| BioGrid: | 109920. 109 interactions. |
|
There are currently no product reviews
|





















.png)













