Polyclonal Antibody to Neurofilament NF-L
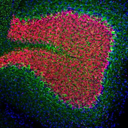
Figure-1: Immunofluorescent analysis of rat cerebellum section stained with chicken pAb to NF-L,(34-1084), dilution 1:2,000 in green, and costained with mouse mAb to FOX3/NeuN,(34-1035), dilution 1:5,000 in red. Following transcardial perfusion of rat with 4% paraformaldehyde, brain was post fixed for 24 hours, cut to 45μM, and free-floating sections were stained with above antibodies. (34-1084) antibody labels perikarya and processes of neuronal cells, particularly strongly the axons of basket cells, while the FOX3/NeuN antibody stains the nuclei and proximal cytoplasm of neurons.
Roll over image to zoom in
Shipping Info:
For estimated delivery dates, please contact us at [email protected]
| Format : | Conc. IgY prep. |
| Amount : | 100 µl |
| Isotype : | Chicken, IgY |
| Content : | Antibody is supplied as an aliquot of concentrated IgY prep. |
| Storage condition : | Store the antibody at 4°C; stable for 6 months. For long-term storage; store at -20°C. Avoid repeated freeze and thaw cycles. |
WB: 1:5,000. IF/ICC and IHC: 1:2,000.
For Research Use Only. Not for use in diagnostic/therapeutics procedures.
| Post transnational modification: | Ubiquitinated in the presence of TRIM2 and UBE2D1. |
| BioGrid: | 110822. 52 interactions. |
|
There are currently no product reviews
|






















.png)












