Polyclonal Antibody to STAT6 (Phospho-Thr645)

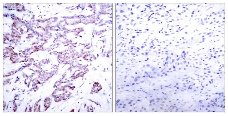
Figure 1: Immunohistochemical analysis of paraffin-embedded human breast carcinoma tissue using STAT6(Phospho-Thr645) Antibody 35-1050 (left) or the same antibody preincubated with blocking peptide(right).
Roll over image to zoom in
Shipping Info:
For estimated delivery dates, please contact us at [email protected]
Format : | Purified |
Amount : | 100 µl |
Isotype : | Rabbit IgG |
Content : | Supplied at 1.0mg/mL in phosphate buffered saline (without Mg2+ and Ca2+), pH 7.4, 150mM NaCl, 0.02% sodium azide and 50% glycerol. |
Storage condition : | Store the antibody at 4°C, stable for 6 months. For long-term storage, store at -20°C. Avoid repeated freeze and thaw cycles. |
Carries out a dual function: signal transduction and activation of transcription. Involved in interleukin-4 signalling.
Nelms K, et al. (1999) Annu Rev Immunol. 17:701-738.
Malabarba M G, et al. (1996) Biochem. J. 319:865-872.
Hou J, et al. (1994) Science. 265:1701-1706.
Quelle F W, et al. (1995) Mol Cell Biol. 15: 3336-3343.
Takeda K, et al. (1996) Nature. 380: 627-630.
Predicted MW: 110kd, Immunohistochemistry: 1:50~1:100
For Research Use Only. Not for use in diagnostic/therapeutics procedures.
Subcellular location: | Cytoplasm, Nucleus |
Post transnational modification: | Mono-ADP-ribosylated by PARP14. |
BioGrid: | 112655. 61 interactions. |
There are currently no product reviews
|