Polyclonal Antibody to Synaptotagmin 1 (Phospho-Ser309)

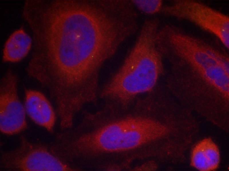
Figure 1: Immunofluorescence staining of methanol-fixed Hela cells using Synaptotagmin 1 (Phospho-Ser309) Antibody 35-1195 .
Roll over image to zoom in
Shipping Info:
For estimated delivery dates, please contact us at [email protected]
Format : | Purified |
Amount : | 100 µl |
Isotype : | Rabbit IgG |
Content : | Supplied at 1.0mg/mL in phosphate buffered saline (without Mg2+ and Ca2+), pH 7.4, 150mM NaCl, 0.02% sodium azide and 50% glycerol. |
Storage condition : | Store the antibody at 4°C, stable for 6 months. For long-term storage, store at -20°C. Avoid repeated freeze and thaw cycles. |
The synaptotagmins are integral membrane proteins of synaptic vesicles thought to serve as Ca(2+) sensors in the process of vesicular trafficking and exocytosis. Calcium binding to synaptotagmin I participates in triggering neurotransmitter release at the synapse Gustavsson N, et al. Proc Natl Acad Sci U S A. 2008 Mar 11; 105(10):3992-7. Cnops L, et al. Cereb Cortex. 2008 May; 18(5):1221-31. Lynch KL, et al. Mol Biol Cell. 2007 Dec; 18(12):4957-68.
Predicted MW: 46kd, Immunofluorescence: 1:100~1:200
For Research Use Only. Not for use in diagnostic/therapeutics procedures.
Subcellular location: | Cytoplasmic vesicle, Cytoplasmic vesicle, Cytoplasmic vesicle, Cytoplasm |
Tissue Specificity: | Expressed in melanocytes (PubMed:23999003). |
BioGrid: | 112723. 41 interactions. |
There are currently no product reviews
|