Rabbit Monoclonal Antibody to L1CAM(Clone :BSR3) (Discontinued)

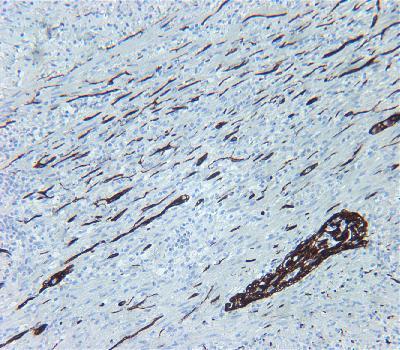
Figure-1: Appendix section has been stained using L1CAM antibody (Clone: BSR3) with 1:200 dilution. Neuronal plexuses and axons of muscular propria have strong label.
Roll over image to zoom in

Shipping Info:
For estimated delivery dates, please contact us at [email protected]
Amount : | 0.5 ml |
Content : | TRIS with 0.03% sodium azide, pH7.2 |
Storage condition : | Store at 4°C |
Immunohistochemical Analysis :-1:200
For Research Use Only. Not for use in diagnostic/therapeutics procedures.
Subcellular location: | Cell membrane, Cell projection, Cell projection, Cell projection |
BioGrid: | 110094. 25 interactions. |
There are currently no product reviews
|