Rabbit Monoclonal Antibody to P63(Clone :BSR6) (Discontinued)

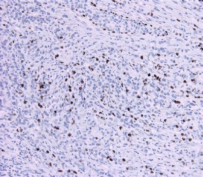
Figure-1: Breast carcinoma section has been stained using P63 antibody (Clone: BSR6) with 1:200 dilution. Scattered and strongly to moderately stained, P63 positive carcinoma cells were observed.
Roll over image to zoom in

Shipping Info:
For estimated delivery dates, please contact us at [email protected]
Amount : | 0.5 ml |
Content : | TRIS with 0.03% sodium azide, pH7.2 |
Storage condition : | Store at 4°C |
Immunohistochemical Analysis :-1:200
For Research Use Only. Not for use in diagnostic/therapeutics procedures.
Subcellular location: | Nucleus |
Post transnational modification: | Ubiquitinated. Polyubiquitination involves WWP1 and leads to proteasomal degradation of this protein. |
Tissue Specificity: | Widely expressed, notably in heart, kidney, placenta, prostate, skeletal muscle, testis and thymus, although the precise isoform varies according to tissue type. Progenitor cell layers of skin, breast, eye and prostate express high levels of DeltaN-type isoforms. Isoform 10 is predominantly expressed in skin squamous cell carcinomas, but not in normal skin tissues. |
BioGrid: | 114181. 129 interactions. |
There are currently no product reviews
|