Rat Monoclonal Antibody to HHV8(Clone: LN53)(Discontinued)

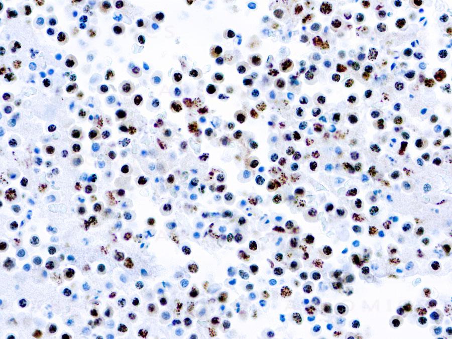
Figure 1 : Formalin fixed paraffin embedded Karposi sarcoma stained with Herpesvirus 8 (HHV8) antibody ( 10-11538).
Roll over image to zoom in

Shipping Info:
For estimated delivery dates, please contact us at [email protected]
Format : | T.C. Sup. |
Amount : | 0.5 ml |
Isotype : | Rat IgG2c |
Content : | This product is supplied as a tissue culture supernatant and contains sodium azide as a preservative. |
Storage condition : | Store at 2-8°C. |
Immunogen Information : | Recombinant protein corresponding to the latent nuclear antigen-1 molecule of HHV8. |
This antibody stains with ORF-73 of human herpesvirus 8 (HHV8). HHV8 is the likely etiological agent of Kaposi sarcoma (KS). HHV8 encodes a latent nuclear antigen (LNA), which is the product of the viral gene ORF 73. LNA is capable of forming a complex with retinoblastoma susceptibility gene product, which may be related to its oncogenic activity.
IHC : 1:25-1:50
For Research Use Only. Not for use in diagnostic/therapeutics procedures.
There are currently no product reviews
|