Recombinant Rabbit Monoclonal Antibody to CD20 / MS4A1 (B-Cell Marker)(Clone : IGEL/1497R)

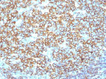
Figure 1: Formalin-fixed, paraffin-embedded human Tonsil stained with CD20 Rabbit Recombinant Monoclonal Antibody (IGEL/1497R).
Roll over image to zoom in
Shipping Info:
For estimated delivery dates, please contact us at [email protected]
Format : | Purified |
Amount : | 100 µg |
Isotype : | Rabbit IgG |
Purification : | Purified Ab with BSA and Azide at 200ug/ml |
Content : | 200ug/ml of Ab purified by Protein A Column. Prepared in 10mM PBS with 0.05% BSA & 0.05% azide. Also available WITHOUT BSA & azide at 1.0mg/ml. |
Storage condition : | Store the antibody at 4°C; stable for 6 months. For long-term storage; store at -20°C. Avoid repeated freeze and thaw cycles. |
Gene : | MS4A1 |
Gene ID : | 931 |
Uniprot ID : | P11836 |
Alternative Name : | APY, ATOPY, B-lymphocyte antigen CD20, B-lymphocyte cell-surface antigen B1, Bp35, Fc epsilon receptor I beta chain, Fc Fragment of IgE high affinity I receptor for beta polypeptide, FCER1B, High affinity immunoglobulin epsilon receptor subunit beta, IgE Fc receptor subunit beta, IGEL, IGER, IGHER, LEU16, Leukocyte surface antigen Leu-16, Ly44, Membrane spanning 4 domains subfamily A member 2, Membrane-spanning 4-domains subfamily A member 1 (MS4A1) |
Immunogen Information : | Recombinant human full-length MS4A1 protein |
Flow Cytometry (1-2µg/million cells); Immunohistochemistry (Formalin-fixed) (1-2µg/ml for 30 minutes at RT)(Staining of formalin-fixed tissues requires heating tissue sections in 10mM Tris with 1mM EDTA, pH 9.0, for 45 min at 95°C followed by cooling at RT for 20 minutes);
For Research Use Only. Not for use in diagnostic/therapeutics procedures.
Subcellular location: | Cell membrane, Cell membrane |
Post transnational modification: | Phosphorylated. Might be functionally regulated by protein kinase(s). |
Tissue Specificity: | Expressed on B-cells. |
BioGrid: | 107369. 15 interactions. |
There are currently no product reviews
|