Recombinant Rabbit Monoclonal Antibody to DOG-1 / TMEM16A (Gastrointestinal Stromal Tumor Marker)(Clone : DG1/1487R)(Discontinued)

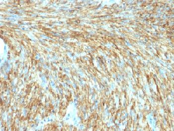
Figure 1: Formalin-fixed, paraffin-embedded human GIST stained with DOG-1 Rabbit Recombinant Monoclonal Antibody (DG1/1487R).
Roll over image to zoom in

Shipping Info:
For estimated delivery dates, please contact us at [email protected]
Format : | Purified |
Amount : | 100 µg |
Isotype : | Rabbit IgG, kappa |
Purification : | Purified Ab with BSA and Azide at 200ug/ml |
Content : | 200ug/ml of recombinant MAb purified by Protein A/G. Prepared in 10mM PBS with 0.05% BSA & 0.05% azide. Also available WITHOUT BSA & azide at 1.0mg/ml. |
Storage condition : | Store the antibody at 4°C; stable for 6 months. For long-term storage; store at -20°C. Avoid repeated freeze and thaw cycles. |
Expression of DOG-1 protein is elevated in the gastrointestinal stromal tumors (GIST s), c-kit signaling-driven mesenchymal tumors of the GI tract. DOG-1 is rarely expressed in other soft tissue tumors, which, due to appearance, may be difficult to diagnose. Immunoreactivity for DOG-1 has been reported in 97.8 percent of scorable GIST s, including all c-kit negative GIST s. Overexpression of DOG-1 has been suggested to aid in the identification of GISTs, including Platelet-Derived Growth Factor Receptor Alpha mutants that fail to express c-kit antigen. The overall sensitivity of DOG1 and c-kit in GIST s is nearly identical: 94.4% vs. 94.7%.
MW : ~114kDa; Positive Control : Gastrointestinal Stromal Tumor (GIST) or testicular germ cell tumor. Melanocytes in the basal layer of the epidermis and mast cells in the dermis of normal skin.;Flow Cytometry (0.5-1ug/million cells); Immunofluorescence (0.5-1ug/ml); Immunohistology (Formalin-fixed) (0.25-0.5ug/ml for 30 minutes at RT),(Staining of formalin-fixed tissues requires boiling tissue sections in 10mM citrate buffer, pH 6.0, for 10-20 min followed by cooling at RT for 20 minutes),Optimal dilution for a specific application should be determined.
For Research Use Only. Not for use in diagnostic/therapeutics procedures.
Subcellular location: | Cell membrane, Cytoplasm |
Tissue Specificity: | Broadly expressed with higher levels in liver, skeletal muscle and gastrointestinal muscles. |
BioGrid: | 120417. 1 interactions. |
There are currently no product reviews
|