Recombinant Rabbit Monoclonal Antibody to p16INK4a (CDKN2A) (Clone: RM267)(Discontinued)

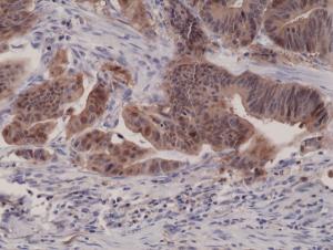
Figure 1: Immunohistochemical staining of formalin fixed and paraffin embedded human colon cancer tissue sections using Anti-p16INK4a Clone: RM267 at a 1:1000 dilution.
Roll over image to zoom in

Shipping Info:
For estimated delivery dates, please contact us at [email protected]
Format : | Purified |
Amount : | 100 µl |
Isotype : | Rabbit IgG |
Purification : | Protein A affinity purified from an animal origin-free culture supernatant |
Content : | Antibody in 50% Glycerol/PBS with 1% BSA and 0.09% sodium azide |
Storage condition : | Store at -20°C. Avoid repeated freeze and thaw cycles. |
Clone RM267 reacts to human p16INK4a (Cyclin-dependent kinase inhibitor 2A). Immunohistochemistry (IHC): 1:500-1:1000 dilution; Western Blot (WB): 1:500-1:1000 dilution.
For Research Use Only. Not for use in diagnostic/therapeutics procedures.
Subcellular location: | Cytoplasm, Nucleus |
Post transnational modification: | Phosphorylation seems to increase interaction with CDK4. |
Tissue Specificity: | Widely expressed but not detected in brain or skeletal muscle. Isoform 3 is pancreas-specific. |
BioGrid: | 107463. 183 interactions. |
There are currently no product reviews
|