Recombinant Rabbit Monoclonal Antibody to S100B (Astrocyte and Melanoma Marker)(Clone : S100B/1706R)
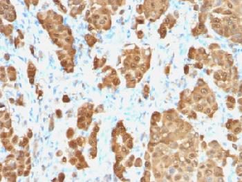
Figure 1: Formalin-fixed, paraffin-embedded human Melanoma stained with S100B Rabbit Recombinant Monoclonal Antibody (S100B/1706R).
Roll over image to zoom in
Shipping Info:
For estimated delivery dates, please contact us at [email protected]
| Format : | Purified |
| Amount : | 100 µg |
| Isotype : | Rabbit IgG, kappa |
| Purification : | Purified Ab with BSA and Azide at 200ug/ml |
| Content : | 200ug/ml of Ab purified by Protein A. Prepared in 10mM PBS with 0.05% BSA & 0.05% azide. Also available WITHOUT BSA & azide at 1.0mg/ml. |
| Storage condition : | Store the antibody at 4°C; stable for 6 months. For long-term storage; store at -20°C. Avoid repeated freeze and thaw cycles. |
Western Blot (1-2µg/ml); ,Immunohistochemistry (Formalin-fixed) (1-2µg/ml for 30 minutes at RT),(Staining of formalin-fixed tissues requires heating tissue sections in 10mM Tris with 1mM EDTA, pH 9.0, for 45 min at 95 °C followed by cooling at RT for 20 minutes),
For Research Use Only. Not for use in diagnostic/therapeutics procedures.
| Subcellular location: | Cytoplasm, Nucleus |
| Tissue Specificity: | Although predominant among the water-soluble brain proteins, S100 is also found in a variety of other tissues. |
| BioGrid: | 112193. 43 interactions. |
|
There are currently no product reviews
|






















.png)














