Recombinant Rabbit Monoclonal Antibody to Synaptophysin (Clone: RM258)(Discontinued)

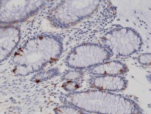
Figure 1: Immunohistochemical staining of formalin fixed and paraffin embedded human colon tissue sections using anti-Synaptophysin rabbit monoclonal antibody (Clone: RM258) at a 1:200 dilution.
Roll over image to zoom in

Shipping Info:
For estimated delivery dates, please contact us at [email protected]
Format : | Purified |
Amount : | 100 µl |
Isotype : | Rabbit IgG |
Purification : | Protein A affinity purified from an animal origin-free culture supernatant |
Content : | 0.2 mg/ml. Antibody in 50% Glycerol/PBS with 1% BSA and 0.09% sodium azide |
Storage condition : | Store at -20°C. Avoid repeated freeze and thaw cycles. |
Clone RM258 reacts to human Synaptophysin. Western Blot (WB): 1:1000-1:2000 dilution; Immunohistochemistry (IHC): 1:200- 1:500 dilution.
For Research Use Only. Not for use in diagnostic/therapeutics procedures.
Subcellular location: | Cytoplasmic vesicle, Cell junction |
Post transnational modification: | Ubiquitinated; mediated by SIAH1 or SIAH2 and leading to its subsequent proteasomal degradation. |
Tissue Specificity: | Expressed in the brain, with expression in the hippocampus, the neuropil in the dentate gyrus, where expression is higher in the outer half of the molecular layer than in the inner half, and in the neuropil of CA4 and CA3. |
BioGrid: | 112721. 39 interactions. |
There are currently no product reviews
|