Recombinant Rabbit Monoclonal Antibody to TNF-alpha (Tumor Necrosis Factor alpha)(Clone : TNF/1500R)

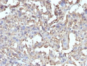
Figure 1: Formalin-fixed, paraffin-embedded Human Histiocytoma stained with TNF alpha Rabbit Recombinant MAb (TNF/1500R).
Roll over image to zoom in
Shipping Info:
For estimated delivery dates, please contact us at [email protected]
Format : | Purified |
Amount : | 100 µg |
Isotype : | Rabbit IgG |
Purification : | Purified Ab with BSA and Azide at 200ug/ml |
Content : | 200ug/ml of Ab purified. Prepared in 10mM PBS with 0.05% BSA & 0.05% azide. Also available WITHOUT BSA & azide at 1.0mg/ml. |
Storage condition : | Store the antibody at 4°C; stable for 6 months. For long-term storage; store at -20°C. Avoid repeated freeze and thaw cycles. |
Gene : | TNF |
Gene ID : | 7124 |
Uniprot ID : | P01375 |
Alternative Name : | APC1, Cachectin, Differentiation inducing factor (DIF), Macrophage cytotoxic factor (MCF), Necrosin, TNF alpha, TNF Macrophage Derived, TNF Monocyte Derived, TNF Superfamily Member 2, TNFA, TNFSF2, Tumor necrosis factor ligand superfamily member 2, Tumor Necrosis Factor Precursor |
Immunogen Information : | Recombinant full-length human TNF-alpha protein |
Immunohistochemistry (Formalin-fixed) (4-8µg/ml for 30 min at RT)(Staining of formalin-fixed tissues requires heating tissue sections in 10mM Tris with 1mM EDTA, pH 9.0, for 45 min at 95°C followed by cooling at RT for 20 minutes);
For Research Use Only. Not for use in diagnostic/therapeutics procedures.
Subcellular location: | Secreted |
Post transnational modification: | O-glycosylated; glycans contain galactose, N-acetylgalactosamine and N-acetylneuraminic acid. |
BioGrid: | 112979. 269 interactions. |
There are currently no product reviews
|