Anti-Alkaline Phosphatase (Placental) / PLAP (Germ Cell Tumor Marker) Monoclonal Antibody(Clone: ALPP/2899R)

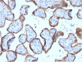
Fig. 1: Formalin-fixed, paraffin-embedded human placenta stained with PLAP Rabbit Recombinant Monoclonal Antibody (ALPP/2899R).
Roll over image to zoom in
Shipping Info:
For estimated delivery dates, please contact us at [email protected]
Amount : | 100 µg |
Isotype : | Rabbit IgG |
Content : | 200 µg/ml of Ab Purified from Bioreactor Concentrate by Protein A/G. Prepared in 10mM PBS with 0.05% BSA & 0.05% azide. Also available WITHOUT BSA & azide at 1.0mg/ml. |
Storage condition : | Antibody with azide - store at 2 to 8°C. Antibody without azide - store at -20 to -80°C. Antibody is stable for 24 months. Non-hazardous. |
Gene : | ALPP |
Gene ID : | 250 |
Uniprot ID : | P05187 |
Alternative Name : | Alkaline phosphatase placental type; Alkaline phosphatase Regan Isozyme; ALP; Alp1; ALPP; Germ-cell alkaline phosphatase; nagao Isozyme; PALP; Placental alkaline phosphatase 1; placental heat-stable alkaline phosphatase; PLAP-1; PLAP1 |
Immunogen Information : | Recombinant full-length human ALPP protein |
Western Blot (1-2ug/ml); Immunohistochemistry (Formalin-fixed) (0.25-0.5ug/ml for 30 minutes at RT)(No special pretreatment is required for the immunohistochemical staining of formalin-fixed tissues);
For Research Use Only. Not for use in diagnostic/therapeutics procedures.
There are currently no product reviews
|