Anti-Alpha-1-Antitrypsin (SERPINA1) (Hepatocellular & Histiocytic Marker) Monoclonal Antibody(Clone: AAT/1378)

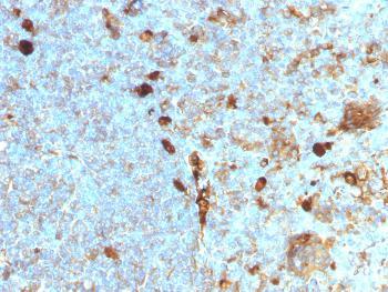
Fig. 1: Formalin-fixed, paraffin-embedded human Tonsil stained with Alpha-1-Antitrypsin Mouse Monoclonal Antibody (AAT/1378).
Roll over image to zoom in
Shipping Info:
For estimated delivery dates, please contact us at [email protected]
Amount : | 100 µg |
Isotype : | Mouse IgG1, kappa |
Content : | 200 µg/ml of Ab Purified from Bioreactor Concentrate by Protein A/G. Prepared in 10mM PBS with 0.05% BSA & 0.05% azide. Also available WITHOUT BSA & azide at 1.0mg/ml. |
Storage condition : | Antibody with azide - store at 2 to 8°C. Antibody without azide - store at -20 to -80°C. Antibody is stable for 24 months. Non-hazardous. |
Gene : | SERPINA1 |
Gene ID : | 5265 |
Uniprot ID : | P01009 |
Alternative Name : | A1AT; AAT; Alpha 1-antitrypsin; Alpha-1 protease inhibitor; Alpha-1-antiproteinase; alpha1 proteinase inhibitor; Alpha1AT; Dom1; Serine (or cysteine) proteinase inhibitor clade A member 1; Serine protease inhibitor 1-1; Serine protease inhibitor A1a; Serpin A1a; Serpin peptidase inhibitor clade A member 1; Serpina1; Short peptide from AAT; SPAAT; Spi1-1 |
Immunogen Information : | Recombinant human Alpha-1-Antitrypsin (AAT) protein fragment |
Western Blot (1-2ug/ml); Immunohistochemistry (Formalin-fixed) (1-2ug/ml for 30 minutes at RT)(Staining of formalin-fixed tissues requires heating tissue sections in 10mM Tris with 1mM EDTA, pH 9.0, for 45 min at 95°C followed by cooling at RT for 20 minutes);
For Research Use Only. Not for use in diagnostic/therapeutics procedures.
There are currently no product reviews
|