Anti-alpha-Fetoprotein Monoclonal Antibody (Clone:AFP-11)

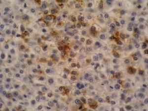
Figure 1: Immunohistochemistry staining of hepatocellular carcinoma (fetal liver; paraffin-embedded sections) with anti-human alpha-Fetoprotein (AFP-11).
Roll over image to zoom in
Shipping Info:
For estimated delivery dates, please contact us at [email protected]
Format : | Purified |
Amount : | 0.1 mg |
Isotype : | Mouse IgG1 |
Purification : | Purified by precipitation and chromatography |
Storage condition : | Store at 2-8°C. Do not freeze. |
Immunohistochemistry Recommended dilution:10 µg/ml
Positive tissue: hepatocellular carcinoma
For Research Use Only. Not for use in diagnostic/therapeutics procedures.
Subcellular location: | Secreted |
Post transnational modification: | Sulfated. |
Tissue Specificity: | Plasma. Synthesized by the fetal liver and yolk sac. |
BioGrid: | 106682. 11 interactions. |
There are currently no product reviews
|