Anti-Calbindin 1 (CALB1) Monoclonal Antibody(Clone: CALB1/3333)

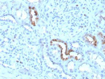
Fig. 1: Formalin-fixed, paraffin-embedded human Kidney stained with Calbindin 1 Mouse Monoclonal Antibody (CALB1/3333).
Roll over image to zoom in
Shipping Info:
For estimated delivery dates, please contact us at [email protected]
Amount : | 100 µg |
Isotype : | Mouse IgG2b, kappa |
Content : | 200 µg/ml of Ab Purified from Bioreactor Concentrate by Protein A/G. Prepared in 10mM PBS with 0.05% BSA & 0.05% azide. Also available WITHOUT BSA & azide at 1.0mg/ml. |
Storage condition : | Antibody with azide - store at 2 to 8°C. Antibody without azide - store at -20 to -80°C. Antibody is stable for 24 months. Non-hazardous. |
Gene : | CALB1 |
Gene ID : | 793 |
Uniprot ID : | P05937 |
Alternative Name : | avian-type; CAB27; CALB 1; CALB; CALB1; CALB1_HUMAN; Calbindin 1 28kDa; Calbindin; Calbindin D28; D 28K; D-28K; D28K; OTTHUMP00000166027; OTTHUMP00000225441; RTVL H protein; Vitamin D dependent calcium binding protein; Vitamin D dependent calcium binding protein avian type; Vitamin D-dependent calcium-binding protein |
Immunogen Information : | Recombinant fragment (around aa 7-96) of human CALB1 protein (exact sequence is proprietary) |
The family of EF-hand type Ca2+-binding proteins includes Calbindin D28K, Calbindin D9K, S-100 and , Calgranulin A (also designated MRP8), Calgranulin B (also designated MRP14), Calgranulin C and the Parvalbumin family members, including Parvalbumin and Parvalbumin (also designated oncomodulin). Calbindin D28K, also known as calbindin, CALB1, D-28K or vitamin D-dependent calcium-binding protein, is a 261-amino acid protein with 6 EF-hand domains, 4 of which are active calcium-binding domains. Expressed in brain, ovary, uterus, testis, pancreas, liver, kidney and intestine, Calbindin D28K acts as a calcium-buffering agent and alters the activity of the plasma membrane ATPase. In neuronal cells, Calbindin D28K modulates calcium channel activity, calcium transients and intrinsic neuronal firing activity. Also, Calbindin D28K has been implicated to play a role in apoptosis and microtubule function.
ELISA (For coating, order antibody without BSA);,Immunohistochemistry (Formalin-fixed) (1-2ug/ml for 30 minutes at RT),(Staining of formalin-fixed tissues requires heating tissue sections in 10mM Tris with 1mM EDTA, pH 9.0, for 45 min at 95°C followed by cooling at RT for 20 minutes);
For Research Use Only. Not for use in diagnostic/therapeutics procedures.
There are currently no product reviews
|