Anti-Calprotectin / MRP14 / S100A9 / Calgranulin B Monoclonal Antibody(Clone: rMAC3781)

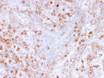
Fig. 1: Formalin-fixed, paraffin-embedded human spleen stained with S100A9 Recombinant Mouse Monoclonal Antibody (rMAC3781).
Roll over image to zoom in
Shipping Info:
For estimated delivery dates, please contact us at [email protected]
Amount : | 100 µg |
Isotype : | Mouse IgG1, kappa |
Content : | 200 µg/ml of Ab Purified from Bioreactor Concentrate by Protein A/G. Prepared in 10mM PBS with 0.05% BSA & 0.05% azide. Also available WITHOUT BSA & azide at 1.0mg/ml. |
Storage condition : | Antibody with azide - store at 2 to 8°C. Antibody without azide - store at -20 to -80°C. Antibody is stable for 24 months. Non-hazardous. |
Gene : | S100A8 & S100A9 |
Gene ID : | 6279; 6280 |
Uniprot ID : | P05109; P06702 |
Alternative Name : | 60B8AG; Calgranulin A (CAGA); Calgranulin B (CAGB); Calprotectin L1L subunit; Chemotactic cytokine CP-10; Cystic fibrosis antigen (CFAG); Leukocyte L1 complex light chain; L1Ag; Macrophage L1 protein Calprotectin; Migration inhibitory factor related protein 8; Myeloid-related protein 8 (MRP-8 or P8); Myeloid-related protein 14 (MRP-14 or P14); Neutrophil cytosolic 7kDa protein; NIF |
Immunogen Information : | Affinity Purified monocyte membrane preparation |
Immunohistochemistry (Formalin-fixed) (1-2ug/ml for 30 minutes at RT),(Staining of formalin-fixed tissues requires heating tissue sections in 10mM Tris with 1mM EDTA, pH 9.0, for 45 min at 95°C followed by cooling at RT for 20 minutes);
For Research Use Only. Not for use in diagnostic/therapeutics procedures.
There are currently no product reviews
|