Anti-Stathmin Monoclonal Antibody (Clone:IHC667)

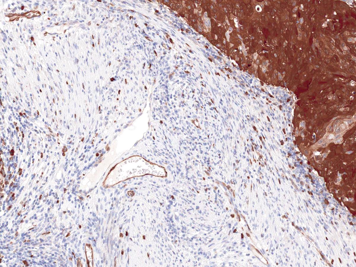
Figure 1: Immunohistochemical analysis of Stathmin (IHC667) on Cervical Cancer
Roll over image to zoom in
Shipping Info:
For estimated delivery dates, please contact us at [email protected]
Format : | Purified |
Amount : | 1 ml |
Purification : | Protein A/G Chromatography |
Storage condition : | Store at 2°C - 8°C. |
Stathmin regulates microtubule dynamics in the cell cycle. It is present in all tissues, but is mostly pronounced in constantly proliferating cell types. Since Anti-Stathmin staining has been found to correlate with cervical intraepithelial neoplasia (CIN) grade, CIN 3 presents the greatest expression and CIN1 displays the least expression of stathmin.
Recommended dilutions: Immunohistochemical analysis: 1:100 - 1:200. However, this need to be optimized based on the research applications.
For Research Use Only. Not for use in diagnostic/therapeutics procedures.
There are currently no product reviews
|