Anti-CD11b / MAC-1 (Microglial Marker) Monoclonal Antibody(Clone: ITGAM/3340)

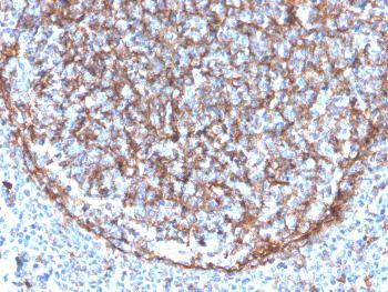
Fig. 1: Formalin-fixed, paraffin-embedded human tonsil stained with CD11b Monospecific Mouse Monoclonal Antibody (ITGAM/3340).
Roll over image to zoom in
Shipping Info:
For estimated delivery dates, please contact us at [email protected]
Amount : | 100 µg |
Isotype : | Mouse IgG2a, kappa |
Content : | 200 µg/ml of Ab Purified from Bioreactor Concentrate by Protein A/G. Prepared in 10mM PBS with 0.05% BSA & 0.05% azide. Also available WITHOUT BSA & azide at 1.0mg/ml. |
Storage condition : | Antibody with azide - store at 2 to 8°C. Antibody without azide - store at -20 to -80°C. Antibody is stable for 24 months. Non-hazardous. |
Gene : | ITGAM |
Gene ID : | 3684 |
Uniprot ID : | P11215 |
Alternative Name : | CD18; CD49d; Cell surface glycoprotein MAC-1 subunit alpha; Complement Component Receptor 3 Alpha; CR3 Alpha Chain (CR3A); Integrin alpha-M; Integrin beta 2 alpha subunit; Leukocyte adhesion receptor MO1; Ly-40; MAC1A; Macrophage antigen alpha polypeptide; MO1A; Neutrophil adherence receptor alpha M subunit |
Immunogen Information : | Recombinant fragment (around aa941-1074) of human ITGAM protein (exact sequence is proprietary) |
CD11b is a cell adhesion molecule that acts as a receptor for cell surface ligands such as intracellular adhesion molecules (ICAMs) or soluble ligands. Integrins are heterodimeric proteins that contain an a chain and b chain. Integrin aM combines with the Integrin '2 to form a leukocyte-specific integrin referred to as macrophage receptor 1 (Mac-1), or inactivated-C3b (iC3b) receptor 3 (CR3). Integrin aM/'2 is important in the adherence of neutrophils and monocytes to stimulated endothelium, and also in the phagocytosis of complement coated particles. The protein CD11b has been implicated in the various adhesion-related interactions of cells such as monocytes, macrophages, natural killer (NK) cells, and granulocytes. It is part of a heterodimer that consists of CD11b andCD18. It also modulates the uptake of complement-coated particles within the cell. It is commonly used as a microglial marker in tissues derived from the nervous system.
Western Blot (1-2ug/ml);Immunohistochemistry (Formalin-fixed) (1-2ug/ml for 30 minutes at RT),(Staining of formalin-fixed tissues requires heating tissue sections in 10mM Tris with 1mM EDTA, pH 9.0, for 45 min at 95°C followed by cooling at RT for 20 minutes);
For Research Use Only. Not for use in diagnostic/therapeutics procedures.
There are currently no product reviews
|