Anti-CD11c (Dendritic Cell Marker) Monoclonal Antibody(Clone: ITGAX/1284)

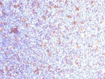
Fig. 1: Formalin-fixed, paraffin-embedded human Tonsil stained with CD11c Mouse Monoclonal Antibody (ITGAX/1284).
Roll over image to zoom in
Shipping Info:
For estimated delivery dates, please contact us at [email protected]
Amount : | 100 µg |
Isotype : | Mouse IgG2b, kappa |
Content : | 200 µg/ml of Ab Purified from Bioreactor Concentrate by Protein A/G. Prepared in 10mM PBS with 0.05% BSA & 0.05% azide. Also available WITHOUT BSA & azide at 1.0mg/ml. |
Storage condition : | Antibody with azide - store at 2 to 8°C. Antibody without azide - store at -20 to -80°C. Antibody is stable for 24 months. Non-hazardous. |
Gene : | ITGAX |
Gene ID : | 3687 |
Uniprot ID : | P20702 |
Alternative Name : | CD11 antigen-like family member C; Complement component 3 receptor 4 subunit; Integrin alpha-X; integrin, alpha X (antigen CD11C (p150), alpha polypeptide); Leu M5 alpha subunit; Leukocyte adhesion glycoprotein p150 95 alpha chain; Myeloid membrane antigen alpha subunit; p150/95 |
Immunogen Information : | Recombinant human ITGAX protein fragment (aa 637-827) (exact sequence is proprietary) |
Immunohistochemistry (Formalin-fixed) (1-2ug/ml for 30 minutes at RT)(Staining of formalin-fixed tissues requires heating tissue sections in 10mM Tris with 1mM EDTA, pH 9.0, for 45 min at 95°C followed by cooling at RT for 20 minutes);
For Research Use Only. Not for use in diagnostic/therapeutics procedures.
There are currently no product reviews
|