Anti-CD20 / MS4A1 (B-Cell Marker) Monoclonal Antibody(Clone: MS4A1/3409)

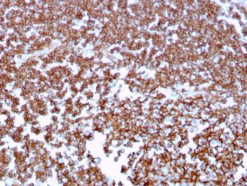
Fig. 1: Formalin-fixed, paraffin-embedded human Tonsil stained with CD20 Mouse Monoclonal Antibody (MS4A1/3409).
Roll over image to zoom in
Shipping Info:
For estimated delivery dates, please contact us at [email protected]
Amount : | 100 µg |
Isotype : | Mouse IgG2b, kappa |
Content : | 200 µg/ml of recombinant MAb Purified by Protein A/G. Prepared in 10mM PBS with 0.05% BSA & 0.05% azide. Also available WITHOUT BSA & azide at 1.0mg/ml. |
Storage condition : | Antibody with azide - store at 2 to 8°C. Antibody without azide - store at -20 to -80°C. Antibody is stable for 24 months. Non-hazardous. |
Gene : | MS4A1 |
Gene ID : | 931 |
Uniprot ID : | P11836 |
Alternative Name : | APY; ATOPY; B-lymphocyte cell-surface antigen B1; Bp35; Fc epsilon receptor I beta chain; Fc Fragment of IgE high affinity I receptor for beta polypeptide; FCER1B; High affinity immunoglobulin epsilon receptor subunit beta; IgE Fc receptor subunit beta; IGEL; IGER; IGHER; LEU16; Leukocyte surface antigen Leu-16; Ly44; Membrane spanning 4 domains subfamily A member 2; Membrane-spanning 4-domains subfamily A member 1 (MS4A1) |
Immunogen Information : | A recombinant fragment (around aa 213-297) of human MS4A1 protein (exact sequence is proprietary) |
ELISA (Use Ab at 2-4ug/ml for coating) (Order Ab without BSA);,Flow Cytometry (1-2ug/million cells); Immunofluorescence (1-2ug/ml); Western Blotting (1-2ug/ml);,Immunohistology (Formalin-fixed) (0.5-1ug/ml for 30 minutes at RT),(Staining of formalin-fixed tissues requires boiling tissue sections in 10mM citrate buffer, pH 6.0, for 10-20 min followed by cooling at RT for 20 minutes),
For Research Use Only. Not for use in diagnostic/therapeutics procedures.
There are currently no product reviews
|