Anti-CD20 / MS4A1 (B-Cell Marker) Monoclonal Antibody(Clone: MS4A1/3410)
 
		
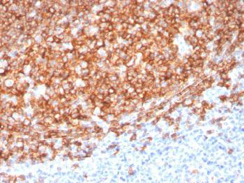
			Fig. 1: Formalin-fixed, paraffin-embedded human Tonsil stained with CD20 Mouse Monoclonal Antibody (MS4A1/3410).
Roll over image to zoom in
Shipping Info:
For estimated delivery dates, please contact us at [email protected]
| Amount : | 100 µg | 
| Isotype : | Mouse IgG1, kappa | 
| Content : | 200 µg/ml of recombinant MAb Purified by Protein A/G. Prepared in 10mM PBS with 0.05% BSA & 0.05% azide. Also available WITHOUT BSA & azide at 1.0mg/ml. | 
| Storage condition : | Antibody with azide - store at 2 to 8°C. Antibody without azide - store at -20 to -80°C. Antibody is stable for 24 months. Non-hazardous. | 
| Gene : | MS4A1 | 
| Gene ID : | 931 | 
| Uniprot ID : | P11836 | 
| Alternative Name : | APY; ATOPY; B-lymphocyte cell-surface antigen B1; Bp35; Fc epsilon receptor I beta chain; Fc Fragment of IgE high affinity I receptor for beta polypeptide; FCER1B; High affinity immunoglobulin epsilon receptor subunit beta; IgE Fc receptor subunit beta; IGEL; IGER; IGHER; LEU16; Leukocyte surface antigen Leu-16; Ly44; Membrane spanning 4 domains subfamily A member 2 | 
| Immunogen Information : | A recombinant fragment (around aa 213-297) of human MS4A1 protein (exact sequence is proprietary) | 
ELISA (For coating, order antibody without BSA);,Immunohistochemistry (Formalin-fixed) (1-2ug/ml for 30 minutes at RT),(Staining of formalin-fixed tissues requires heating tissue sections in 10mM Tris with 1mM EDTA, pH 9.0, for 45 min at 95°C followed by cooling at RT for 20 minutes);
For Research Use Only. Not for use in diagnostic/therapeutics procedures.
| 
                    	There are currently no product reviews | 














.png)








 
					



