Anti-CD209 / DC-SIGN (Pathogen Receptor on Dendritic Cells) Monoclonal Antibody(Clone: rC209/1781)

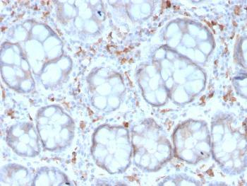
Fig. 1: Formalin-fixed, paraffin-embedded human Colon Carcinoma stained with CD209 Mouse Monoclonal Antibody (rC209/1781).
Roll over image to zoom in
Shipping Info:
For estimated delivery dates, please contact us at [email protected]
Amount : | 100 µg |
Isotype : | Mouse IgG1, kappa |
Content : | 200 µg/ml of Ab Purified from Bioreactor Concentrate by Protein A/G. Prepared in 10mM PBS with 0.05% BSA & 0.05% azide. Also available WITHOUT BSA & azide at 1.0mg/ml. |
Storage condition : | Antibody with azide - store at 2 to 8°C. Antibody without azide - store at -20 to -80°C. Antibody is stable for 24 months. Non-hazardous. |
Gene : | CD209 |
Gene ID : | 30835 |
Uniprot ID : | Q9NNX6 |
Alternative Name : | CD209; CDSIGN; CIRE; CLEC4L; DC-SIGN; DC-SIGN1; DCSIGN; Dendritic cell-specific ICAM-3 Grabbing Non-integrin 1; HIV GP120 Binding Protein; SIGN-R1; SIGNR5 |
Immunogen Information : | Recombinant human CD209 protein fragment (exact sequence is proprietary) |
Immunohistochemistry (Formalin-fixed) (1-2ug/ml for 30 minutes at RT),(Staining of formalin-fixed tissues is enhanced by heating tissue sections in 10mM Tris with 1mM EDTA Buffer, pH 9.0, for 45 min at 95°C followed by cooling at RT for 20 minutes),
For Research Use Only. Not for use in diagnostic/therapeutics procedures.
There are currently no product reviews
|