Anti-CD25 / IL2RA (Activated Lymphocyte Marker) Monoclonal Antibody(Clone: IL2RA/2395)

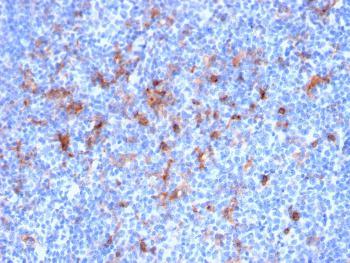
Fig. 1: Formalin-fixed, paraffin-embedded human Tonsil stained with CD25 Mouse Monoclonal Antibody (IL2RA/2395).
Roll over image to zoom in
Shipping Info:
For estimated delivery dates, please contact us at [email protected]
Amount : | 100 µg |
Isotype : | Mouse IgG2b, kappa |
Content : | 200 µg/ml of Ab Purified from Bioreactor Concentrate by Protein A/G. Prepared in 10mM PBS with 0.05% BSA & 0.05% azide. Also available WITHOUT BSA & azide at 1.0mg/ml. |
Storage condition : | Antibody with azide - store at 2 to 8°C. Antibody without azide - store at -20 to -80°C. Antibody is stable for 24 months. Non-hazardous. |
Gene : | IL2RA |
Gene ID : | 3559 |
Uniprot ID : | P01589 |
Alternative Name : | IL2 Receptor alpha; IL2R alpha chain; IL2R; IL2R subunit alpha IL2RA; Interleukin-2 receptor subunit alpha; Ly43; p55; p55 chain; T Cell Growth Factor Receptor; TAC antigen; TCGFR |
Immunogen Information : | Recombinant fragment of human IL2RA protein (around aa 42-183) (exact sequence is proprietary) |
Immunohistochemistry (Formalin-fixed) (2-4ug/ml for 30 minutes at RT)(Staining of formalin-fixed tissues requires heating tissue sections in 10mM Tris with 1mM EDTA, pH 9.0, for 45 min at 95°C followed by cooling at RT for 20 minutes)
For Research Use Only. Not for use in diagnostic/therapeutics procedures.
There are currently no product reviews
|