Anti-Thomsen-Friedenreich Antigen / CD176 (Pan Carcinoma Marker) Monoclonal Antibody(Clone: A63-C/A9)

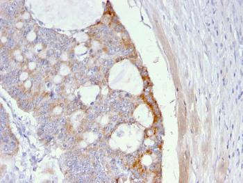
Fig. 1: Formalin-fixed, paraffin-embedded human Colon Carcinoma stained with T-F Antigen Mouse Monoclonal Antibody (A63-C/A9).
Roll over image to zoom in
Shipping Info:
For estimated delivery dates, please contact us at [email protected]
Amount : | 100 µg |
Isotype : | Mouse IgM, kappa |
Content : | 200 µg/ml of Ab Purified from Bioreactor Concentrate. Prepared in 10mM PBS with 0.05% BSA & 0.05% azide. Also available WITHOUT BSA & azide at 1.0mg/ml. |
Storage condition : | Antibody with azide - store at 2 to 8°C. Antibody without azide - store at -20 to -80°C. Antibody is stable for 24 months. Non-hazardous. |
Alternative Name : | T-F Antigen; TF Antigen; Asialoglycophorin; pan-carcinoma marker; CD176 |
Immunogen Information : | Neuraminidase-treated human red blood cells |
Immunofluorescence (0.5-1µg/ml); Immunohistochemistry (Frozen) (0.5-1.0µg/ml for 30 minutes at RT); Immunohistochemistry (Formalin-fixed) (1-2µg/ml for 30 minutes at 37'C)(Staining of formalin-fixed tissues requires boiling tissue sections in 10mM citrate buffer, pH 6.0, for 10-20 min followed by cooling at RT for 20 minutes)Optimal dilution for a specific application should be determined.
For Research Use Only. Not for use in diagnostic/therapeutics procedures.
There are currently no product reviews
|