Anti-CD44v6 (Marker of Tumor Metastasis) Monoclonal Antibody(Clone: CD44V6/2496)

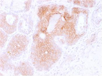
Fig. 1: Formalin-fixed, paraffin-embedded human Prostate Carcinoma stained with CD44v6 Mouse Monoclonal Antibody (CD44V6/2496).
Roll over image to zoom in
Shipping Info:
For estimated delivery dates, please contact us at [email protected]
Amount : | 100 µg |
Isotype : | Mouse IgG1, kappa |
Content : | 200 µg/ml of Ab Purified from Bioreactor Concentrate by Protein A/G. Prepared in 10mM PBS with 0.05% BSA & 0.05% azide. Also available WITHOUT BSA & azide at 1.0mg/ml. |
Storage condition : | Antibody with azide - store at 2 to 8°C. Antibody without azide - store at -20 to -80°C. Antibody is stable for 24 months. Non-hazardous. |
Gene : | CD44 |
Gene ID : | 960 |
Uniprot ID : | P16070 |
Alternative Name : | LHR; BA-1; chondroitin sulfate proteoglycan 8 (CSPG8); Epican; Extracellular Matrix Receptor III (ECM III); GP90 Lymphocyte Homing Adhesion Receptor; HCAM; HCELL; hematopoietic cell E- and L-selectin ligand; Heparan Sulfate Proteoglycan; Hermes Antigen; HAS; HUTCH I; Hyaluronate Receptor; Indian blood group; Inlu Related p80 Glycoprotein; Ly 24; MDU2; MDU3; MIC4; MUTCH I; Phagocytic Glycoprotein 1 (PGP-1) |
Immunogen Information : | Recombinant fragment corresponding to the v6 domain of human CD44 |
This antibody recognizes an epitope encoded by exon v3 on the variant portion of human CD44. The CD44 molecule belongs to a family of cellular adhesion molecules found on a wide range of normal and malignant cells in epithelial, mesothelial and hemopoiesis tissues. CD44 is a single gene with 20 exons, of which 10 are normally expressed to encode the basic CD44 (H-CAM) molecule. The additional 10 exons (v1 to v10) are only expressed by alternative splicing of the nuclear RNA.The expression of specific cell adhesion molecule CD44 splice variants has been reported to be associated with metastasis in certain human malignancies.
Immunohistochemistry (Formalin-fixed) (1-2ug/ml for 30 minutes at RT)(Staining of formalin-fixed tissues requires heating tissue sections in 10mM Tris with 1mM EDTA, pH 9.0, for 45 min at 95°C followed by cooling at RT for 20 minutes);
For Research Use Only. Not for use in diagnostic/therapeutics procedures.
There are currently no product reviews
|