Anti-CD66e / CEA Monoclonal Antibody (Clone:CB30)

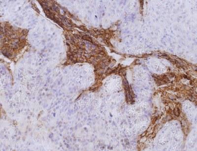
Figure 1: Immunohistochemistry staining of colorectal carcinoma (paraffin-embedded sections) with anti-human CD66e (CB30). Primary antibody dilution: 10 µg/ml.
Roll over image to zoom in
Shipping Info:
For estimated delivery dates, please contact us at [email protected]
Format : | Purified |
Amount : | 0.1 mg |
Isotype : | Mouse IgG1 |
Purification : | Purified by protein-A affinity chromatography |
Storage condition : | Store at 2-8°C. Do not freeze. |
The CD66e (CEA; 180-200 kDa) is a member of carcinoembryonic antigens, immunoglobulin supergene family and consists of a single N domain (structural homology to the immunoglobulin variable) and six immunoglobulin constant-like A (A1, A2, A3) and B domains (B1, B2, B3). Human CD66e is heavily glycosylated GPI anchored protein capable of both homophilic and heterophilic adhesion.Disease relevance: The CD66e may play a role in the process of metastasis of cancer cells. CD66e is found in serum and it is clinically used as a tumor marker for early detection of disease due to its expression in adenocarcinomas - potential target of tumor imaging and drug targeting.
Immunohistochemistry Recommended dilution: 10 µg/ml (1:100)
Positive tissue: Adenocarcinoma of colon
For Research Use Only. Not for use in diagnostic/therapeutics procedures.
Subcellular location: | Cell membrane, Apical cell membrane, Cell surface |
Post transnational modification: | Complex immunoreactive glycoprotein with a MW of 180 kDa comprising 60% carbohydrate. |
Tissue Specificity: | Expressed in columnar epithelial and goblet cells of the colon (at protein level) (PubMed:10436421). Found in adenocarcinomas of endodermally derived digestive system epithelium and fetal colon. |
BioGrid: | 107478. 6 interactions. |
There are currently no product reviews
|