Anti-Cdk1 / p34Cdc2 Monoclonal Antibody (Clone:POH-1)

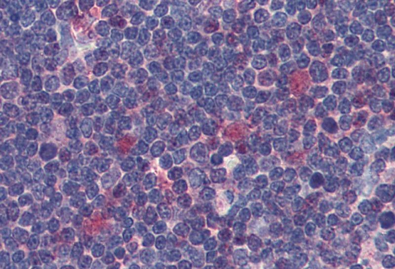
Figure 1: Immunohistochemistry staining of human thymus (paraffin sections) using anti-Cdk1 (clone POH-1).
Roll over image to zoom in
Shipping Info:
For estimated delivery dates, please contact us at [email protected]
Format : | Purified |
Amount : | 0.1 mg |
Isotype : | Mouse IgG2a |
Purification : | Purified by protein-A affinity chromatography |
Storage condition : | Store at 2-8°C. Do not freeze. |
Cdk1 (cyclin-dependent kinase 1), also known as p34Cdc2 (cell division control protein kinase 2) depends on cyclin A and B and is triggered by a positive feedback loop at the end of G2 phase, which is the key event that initiates mitotic entry. Destruction of cyclin B during metaphase results in inactivation of Cdk1, allowing mitotic exit and cell division. Cdk1 also contributes to the control of DNA replication. Cdk1 can be ihibited by several transcriptional targets of p53, such as p21WAF.
Immunohistochemistry (paraffin sections): Recommended dilution: 10 μg/ml; positive tissue: thymus.
Western blotting: Recommended dilution: 1-2 μg/ml.
For Research Use Only. Not for use in diagnostic/therapeutics procedures.
Subcellular location: | Nucleus, Cytoplasm, Mitochondrion, Cytoplasm, Cytoplasm |
Post transnational modification: | Polyubiquitinated upon genotoxic stress. |
Tissue Specificity: | Isoform 2 is found in breast cancer tissues. |
BioGrid: | 107420. 287 interactions. |
There are currently no product reviews
|