Anti-COX-2 Monoclonal Antibody (Clone:IHC550)(Discontinued)
Shipping Info:
For estimated delivery dates, please contact us at [email protected]
| Format : | Purified |
| Amount : | 1 ml |
| Purification : | Protein A/G Chromatography |
| Storage condition : | Store at 2°C - 8°C. |
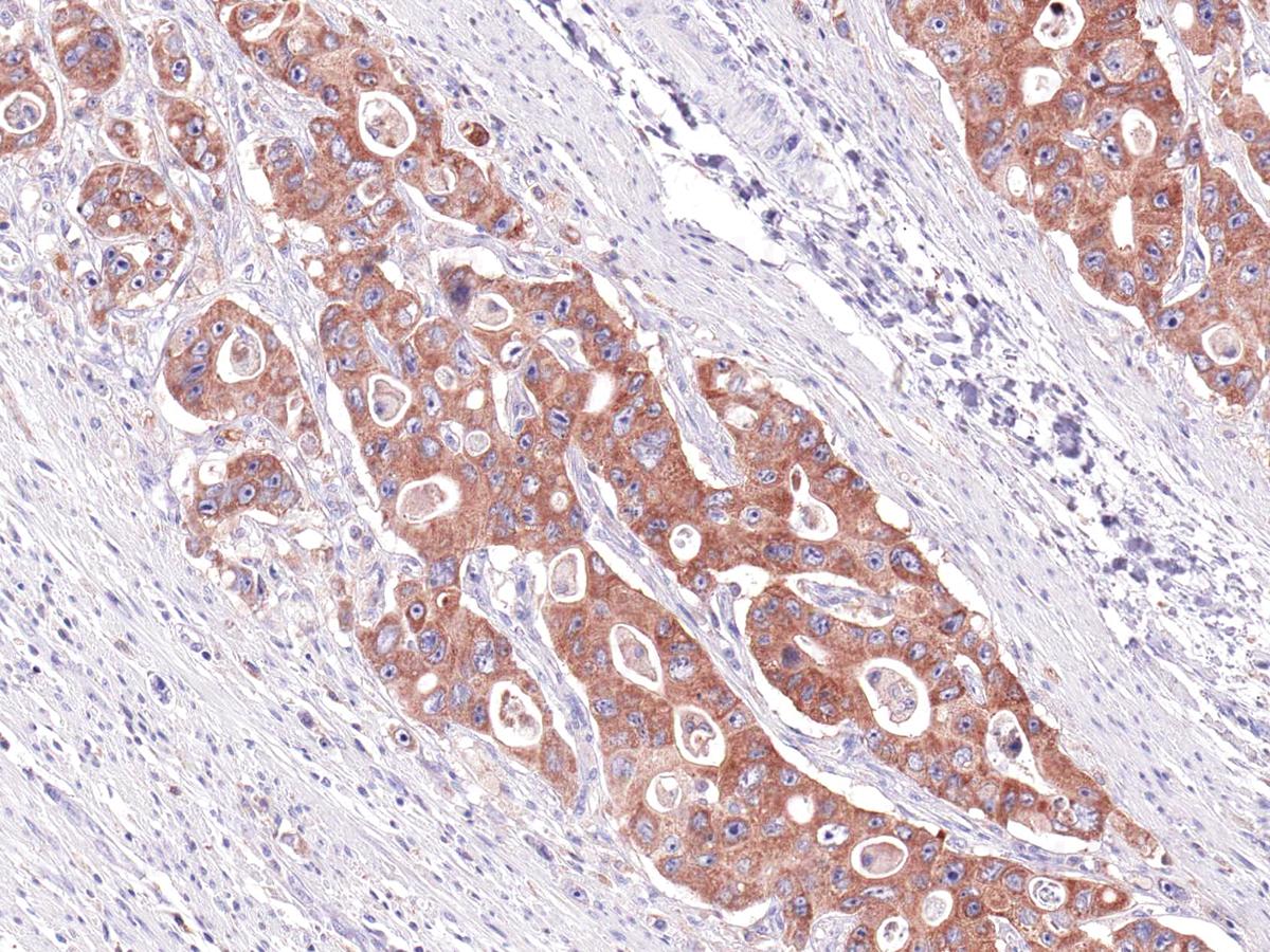
COX-2, also known as cyclooxygenase 2, catalyzes the conversion of arachidonic acid to prostaglandin H2. The inhibition of COX-2 using non-steroidal anti-inflammatory agents limits angiogenesis and tumor growth, and increases apoptosis. The overexpression of COX-2 is linked to increased microvascular density.
Recommended dilutions: Immunohistochemical analysis: 1:100 - 1:200. However, this need to be optimized based on the research applications.
For Research Use Only. Not for use in diagnostic/therapeutics procedures.
|
There are currently no product reviews
|



![Recombinant Human Poly [ADP-ribose] Polymerase 1/PARP-1 (C-6His)(Discontinued) Recombinant Human Poly [ADP-ribose] Polymerase 1/PARP-1 (C-6His)(Discontinued)](https://media.abeomics.com/templates/abeomics/images/noimage.jpg)



















.png)












