Monoclonal Antibody to MUC1 / EMA / CD227 (Epithelial Marker)(Clone : MUC1/845)
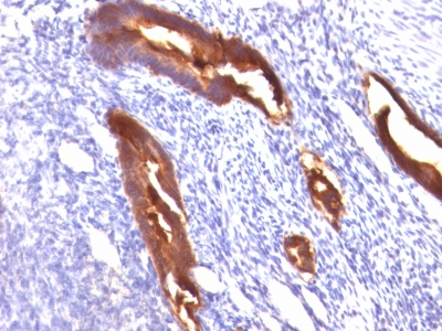
Formalin-fixed, paraffin-embedded human Ovarian Carcinoma stained with MUC1 / EMA Monoclonal Antibody (MUC1/845).
Roll over image to zoom in
Shipping Info:
For estimated delivery dates, please contact us at [email protected]
| Format : | Purified |
| Amount : | 100 µg |
| Isotype : | Mouse IgG1, kappa |
| Purification : | Affinity Chromatography |
| Content : | 100 µg in 500 µl PBS containing 0.05% BSA and 0.05% sodium azide. Sodium azide is highly toxic. |
| Storage condition : | Store the antibody at 4°C; stable for 6 months. For long-term storage; store at -20°C. Avoid repeated freeze and thaw cycles. |
Immunohistochemistry (Formalin-fixed) (1-2ug/ml for 30 min at RT)(Staining of formalin-fixed tissues requires heating tissue sections in 10mM Tris with 1mM EDTA, pH 9.0, for 45 min at 95°C followed by cooling at RT for 20 minutes);
For Research Use Only. Not for use in diagnostic/therapeutics procedures.
| Subcellular location: | Cell membrane, Cytoplasm, Nucleus |
| Post transnational modification: | The N-terminal sequence has been shown to begin at position 24 or 28. |
| Tissue Specificity: | Expressed on the apical surface of epithelial cells, especially of airway passages, breast and uterus. Also expressed in activated and unactivated T-cells. Overexpressed in epithelial tumors, such as breast or ovarian cancer and also in non-epithelial tumor cells. Isoform Y is expressed in tumor cells only. |
| BioGrid: | 110669. 44 interactions. |
|
There are currently no product reviews
|


























.png)














