Anti-Crystallin Alpha B Monoclonal Antibody(Clone: CPTC-CRYAB-1)

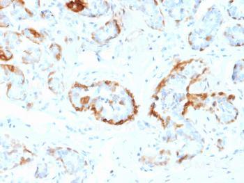
Fig. 1: Formalin-fixed, paraffin-embedded human Breast stained with Crystallin Alpha B Mouse Monoclonal Antibody (CPTC-CYRAB-1).
Roll over image to zoom in
Shipping Info:
For estimated delivery dates, please contact us at [email protected]
Amount : | 100 µg |
Isotype : | Mouse IgG2c, kappa |
Content : | 200 µg/ml of Ab Purified from Bioreactor Concentrate by Protein A/G. Prepared in 10mM PBS with 0.05% BSA & 0.05% azide. Also available WITHOUT BSA & azide at 1.0mg/ml. |
Storage condition : | Antibody with azide - store at 2 to 8°C. Antibody without azide - store at -20 to -80°C. Antibody is stable for 24 months. Non-hazardous. |
Gene : | CRYAB |
Gene ID : | 1410 |
Uniprot ID : | P02511 |
Alternative Name : | AACRYA; Alpha B crystallin; Alpha-crystallin B chain; CRYA2; CTTP2; Heat shock 20 kD like protein; Heat shock protein beta-5; HspB5; Renal carcinoma antigen NY REN 27; Rosenthal fiber component |
Immunogen Information : | Recombinant human full-length CRYAB protein |
Western Blot (1-2ug/ml); Immunohistochemistry (Formalin-fixed) (1-2ug/ml for 30 min at RT)(Staining of formalin-fixed tissues requires heating tissue sections in 10mM Tris with 1mM EDTA, pH 9.0, for 45 min at 95°C followed by cooling at RT for 20 minutes);
For Research Use Only. Not for use in diagnostic/therapeutics procedures.
There are currently no product reviews
|