Anti-Cytochrome p450 Monoclonal Antibody(Clone: M12P4H2)

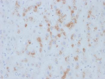
Fig. 1: Formalin-fixed, paraffin-embedded human Hepatic Carcinoma stained with Cytochrome p450 Mouse Monoclonal Antibody (M12P4H2).
Roll over image to zoom in
Shipping Info:
For estimated delivery dates, please contact us at [email protected]
Amount : | 100 µg |
Isotype : | Mouse IgG1, kappa |
Content : | 200 µg/ml of Ab Purified from Bioreactor Concentrate by Protein A/G. Prepared in 10mM PBS with 0.05% BSA & 0.05% azide. Also available WITHOUT BSA & azide at 1mg/ml. |
Storage condition : | Antibody with azide - store at 2 to 8°C. Antibody without azide - store at -20 to -80°C. Antibody is stable for 24 months. Non-hazardous. |
Gene : | CYP2E1 |
Gene ID : | 1571 |
Uniprot ID : | P05181 |
Alternative Name : | 4-nitrophenol 2-hydroxylase; CPE1; CYP2Ecytochrome P450 2E1; CYPIIE1; cytochrome P450, family 2, subfamily E, polypeptide 1; cytochrome P450, subfamily IIE (ethanol-inducible), polypeptide 1 ; Cytochrome P450-J; EC 1.14.13; EC 1.14.13.n7; EC 1.14.14.1; flavoprotein-linked monooxygenase; microsomal monooxygenase; P450C2E; P450-J; xenobiotic monooxygenase |
Immunogen Information : | Ovalbumin-conjµgated synthetic peptide HIGFGCIPPR (C-terminal sequence) |
Immunohistochemistry (Formalin-fixed) (0.1-0.2ug/ml for 30 min at RT)(Staining of formalin-fixed tissues requires heating tissue sections in 10mM Tris with 1mM EDTA, pH 9.0, for 45 min at 95°C followed by cooling at RT for 20 minutes);
For Research Use Only. Not for use in diagnostic/therapeutics procedures.
There are currently no product reviews
|