Anti-Decorin Monoclonal Antibody(Clone: DCN/3523)

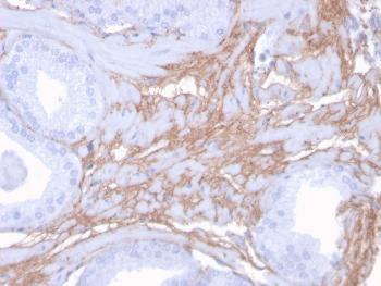
Fig. 1: Formalin-fixed, paraffin-embedded human Prostate stained with Decorin Mouse Monoclonal Antibody (DCN/3523).
Roll over image to zoom in
Shipping Info:
For estimated delivery dates, please contact us at [email protected]
Amount : | 100 µg |
Isotype : | Mouse IgG2b, kappa |
Content : | 200 µg/ml of Ab Purified from Bioreactor Concentrate by Protein A/G. Prepared in 10mM PBS with 0.05% BSA & 0.05% azide. Also available WITHOUT BSA & azide at 1.0mg/ml. |
Storage condition : | Antibody with azide - store at 2 to 8°C. Antibody without azide - store at -20 to -80°C. Antibody is stable for 24 months. Non-hazardous. |
Gene : | DCN |
Gene ID : | 1634 |
Uniprot ID : | P07585 |
Alternative Name : | Bone proteoglycan II; CSCD; Dermatan sulphate proteoglycans II (DSPG2); PG40; PGII; PGS2; Proteoglycan core protein; SLRR1B; Small leucine rich protein 1B |
Immunogen Information : | Recombinant human Decorin protein fragment (aa212-336) (exact sequence is proprietary) |
Immunohistochemistry (Formalin-fixed) (1-2ug/ml for 30 minutes at RT),(Staining of formalin-fixed tissues requires heating tissue sections in 10mM Tris with 1mM EDTA, pH 9.0, for 45 min at 95 °C followed by cooling at RT for 20 minutes),
For Research Use Only. Not for use in diagnostic/therapeutics procedures.
There are currently no product reviews
|