Anti-Ep-CAM / CD326 (Extracellular Domain) (Epithelial Marker) Monoclonal Antibody(Clone: Ber-EP4)

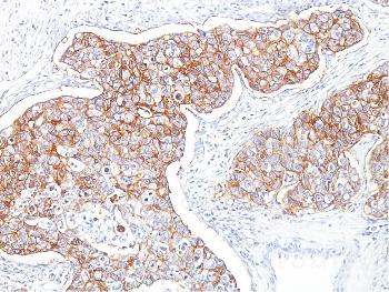
Fig. 1: Formalin-fixed, paraffin-embedded human Breast Carcinoma stained with Ep-CAM Mouse Monoclonal Antibody (Ber-EP4)
Roll over image to zoom in
Shipping Info:
For estimated delivery dates, please contact us at [email protected]
Amount : | 0.5 ml |
Isotype : | Mouse IgG1, kappa |
Content : | Tissue culture supernatant with 0.05% Azide. Contact us if you require it in a different format. |
Storage condition : | Store at 2 to 8°C. Antibody is stable for 24 months. Non-hazardous. |
Gene : | TACSTD1 |
Gene ID : | 4072 |
Uniprot ID : | P16422 |
Alternative Name : | Adenocarcinoma-associated Antigen; Cell Surface Glycoprotein Trop-1; EGP2; EGP314; EGP40; Epithelial Cell Adhesion Molecule; Epithelial Glycoprotein 314; ESA; KSA; TACD1; TACSTD1; TROP1; Tumor-associated Calcium Signal Transducer 1 |
Immunogen Information : | Human breast cancer MCF-7 cells |
Flow Cytometry (0.5-1ug/million cells); Immunohistochemistry (Formalin-fixed) (1:100-1:200 for 30 min at RT)(Staining of formalin-fixed tissues requires heating tissue sections in 10mM Tris with 1mM EDTA, pH 9.0, for 45 min at 95°C followed by cooling at RT for 20 minutes);
For Research Use Only. Not for use in diagnostic/therapeutics procedures.
There are currently no product reviews
|