Anti-Factor XIIIa (Coagulation Factor XIIIA Chain) Monoclonal Antibody(Clone: F13A1/1448)

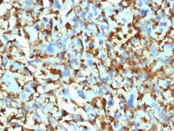
Fig. 1: Formalin-fixed, paraffin-embedded human Histiocytoma stained with Factor XIIIa Mouse Monoclonal Antibody (F13A1/1448).
Roll over image to zoom in
Shipping Info:
For estimated delivery dates, please contact us at [email protected]
Amount : | 100 µg |
Isotype : | Mouse IgG2b, kappa |
Content : | 200 µg/ml of Ab Purified from Bioreactor Concentrate by Protein A/G. Prepared in 10mM PBS with 0.05% BSA & 0.05% azide. Also available WITHOUT BSA & azide at 1.0mg/ml. |
Storage condition : | Antibody with azide - store at 2 to 8°C. Antibody without azide - store at -20 to -80°C. Antibody is stable for 24 months. Non-hazardous. |
Gene : | F13A1 |
Gene ID : | 2162 |
Uniprot ID : | P00488 |
Alternative Name : | Coagulation factor XIII A chain; Coagulation factor XIII A1 polypeptide; Coagulation factor XIIIa; F13A; F13a1; Factor XIIIA; Fibrin stabilizing factor, A subunit; Fibrinoligase; FSF, A subunit; Protein-glutamine gamma-glutamyltransferase A chain; TGase; Transglutaminase A chain; Transglutaminase. plasma |
Immunogen Information : | Recombinant fragment of human Factor XIIIa protein (aa46-181) (exact sequence is proprietary) |
ELISA (Use Ab at 2-4ug/ml for coating) (Order Ab without BSA); Flow Cytometry (1-2ug/million cells); Immunofluorescence (1-2ug/ml); Western Blot (1-2ug/ml); Immunohistochemistry (Formalin-fixed) (1-2ug/ml for 30 min at RT)(Staining of formalin-fixed tissues requires heating tissue sections in 10mM Tris with 1mM EDTA, pH 9.0, for 45 min at 95°C followed by cooling at RT for 20 minutes);
For Research Use Only. Not for use in diagnostic/therapeutics procedures.
There are currently no product reviews
|