Monoclonal Antibody to IgM (Immunoglobulin Mu Heavy Chain) (B-Cell Marker)(Clone : IM260)
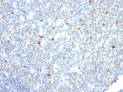
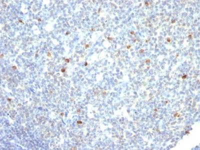
Formalin-fixed, paraffin-embedded human Tonsil stained with IgM Monoclonal Antibody (IM260)
Roll over image to zoom in
Shipping Info:
For estimated delivery dates, please contact us at [email protected]
| Format : | Purified |
| Amount : | 100 µg |
| Isotype : | Mouse IgG1, kappa |
| Purification : | Affinity Chromatography |
| Content : | 100 µg in 500 µl PBS containing 0.05% BSA and 0.05% sodium azide. Sodium azide is highly toxic. |
| Storage condition : | Store the antibody at 4°C; stable for 6 months. For long-term storage; store at -20°C. Avoid repeated freeze and thaw cycles. |
| Gene : | IGHM |
| Uniprot ID : | P01871 |
| Alternative Name : | IGHM |
| Immunogen Information : | Recombinant heavy chain of human IgM |
Western Blot (1-2ug/ml); ,Immunohistochemistry (Formalin-fixed) (1-2ug/ml for 30 minutes at RT),(Staining of formalin-fixed tissues requires heating tissue sections in 10mM Tris with 1mM EDTA, pH 9.0, for 45 min at 95°C followed by cooling at RT for 20 minutes);
For Research Use Only. Not for use in diagnostic/therapeutics procedures.
| Subcellular location: | Cell membrane |
|
There are currently no product reviews
|























.png)










